项韧带x线

医生告诉你:宅家疯狂玩手机,你的颈椎可能会这样
图片尺寸325x515
【项韧带钙化】就是脖子从软变硬的故事
图片尺寸1080x1212
请大家帮忙看看韧带什么情况
图片尺寸1080x809
基础学习丨项韧带钙化
图片尺寸640x362
5钩突关节骨质变尖;轻度增生4第四步,观察韧带c5/6段前纵韧带钙化c4/5
图片尺寸344x506
了解一下项韧带钙化
图片尺寸1438x1982
颈椎后纵韧带钙化典型病例 - 好大夫在线
图片尺寸2536x3744
基础学习丨项韧带钙化
图片尺寸640x426
【骨质增生的形成】
图片尺寸500x629
影像报告解读:项韧带钙化x线表现分享!
图片尺寸1024x576
文献三33. 局灶型项韧带骨化的位置与椎间盘退变的程度有关.
图片尺寸553x355
收藏后交叉韧带损伤的诊断
图片尺寸800x399
颈椎后纵韧带骨化症opllx线诊断
图片尺寸1080x608
第3/4椎间孔变窄,5/6项韧带钙化.第5椎间孔变小颈椎生理曲度后突反张.
图片尺寸640x478
颈椎x线片显示颈椎曲度变直,前缘有鸟嘴样增生,项韧带钙化.
图片尺寸3668x2812
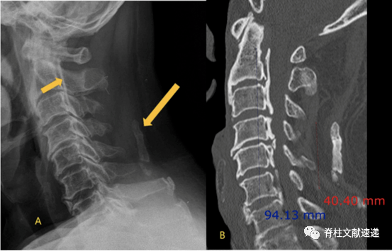
颈椎后纵韧带骨化一例
图片尺寸3456x4608
女,36岁,c4下关节突变尖;项韧带钙化;椎间孔正常切凹增生征:伴小关节
图片尺寸761x382
韧带钙化
图片尺寸1080x608
浅谈颈椎病的诊断与观片方法
图片尺寸741x553
史上最详细的颈椎x线解剖解读经典收藏
图片尺寸702x1227