颅中窝骨折图片

颅骨骨折
图片尺寸540x960
孩子不小心磕着头怎么办
图片尺寸810x1080
面颅骨复杂性骨折求意见
图片尺寸2048x1536
颅脑损伤 (2)ppt
图片尺寸1080x810
颅前窝骨折的表现
图片尺寸1080x810
颅骨骨折都要做手术吗?
图片尺寸640x325
3案例3:一岁孩子摔着头,颅骨凹进去了所幸经过神经外科医生全力抢救
图片尺寸585x449
颅中窝骨折的介绍
图片尺寸300x419
矢状窦凹陷性骨折,手术还是保守
图片尺寸3264x2448
额部开放凹陷性骨折
图片尺寸664x340
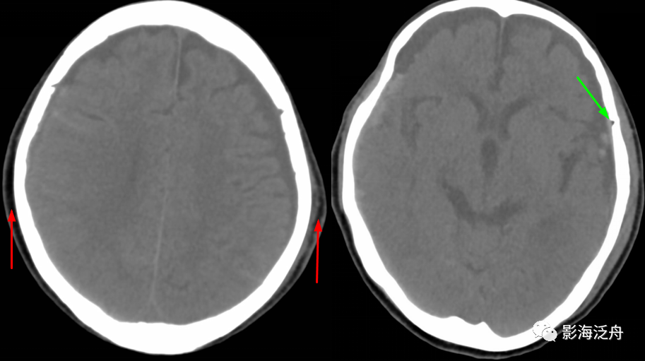
夜班不求人——颅骨骨折(上)_病例
图片尺寸909x507
医学生笔记7199/颅底骨折
图片尺寸960x1280
开放性颅骨骨折的手术策略与技巧 | the neurosurgical atlas全文翻译
图片尺寸815x915
颅骨骨折
图片尺寸450x306
4. 颅前窝骨折:"熊猫眼"征 鼻出血 脑脊液鼻漏 Ⅰ或Ⅱ脑神经损伤.3.
图片尺寸600x545
颅中窝骨折脑脊液耳漏图
图片尺寸750x500
颅骨骨折(上)_医学界-助力医生临床决策和职业成长
图片尺寸913x511
分享一例颅骨凹陷性骨折病例原创
图片尺寸3264x2448
医学教育 颅中窝骨折示意图
图片尺寸1080x810
颅骨骨折(上)_医学界-助力医生临床决策和职业成长
图片尺寸553x599