颅内动脉瘤ct图片

牛停芬,女,53岁,左侧大脑中动脉动脉瘤
图片尺寸2000x2667
女.58岁 发现颅内动脉瘤2个月.
图片尺寸2000x2667
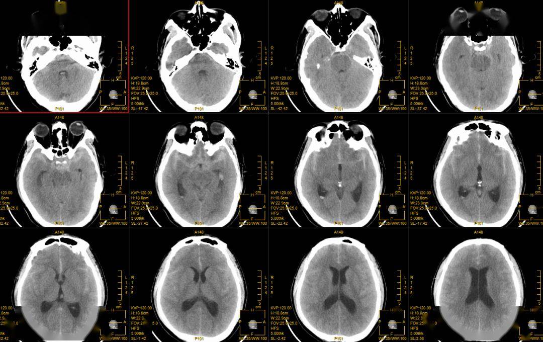
术前ct术后ct动脉瘤已夹闭
图片尺寸3264x2448
嘎日布,女,78岁,左侧大脑中动脉动脉瘤,左侧大脑后动脉p3段动脉瘤
图片尺寸2000x2667
毕德霞 女 54岁 头痛起病 sah 右侧颈内动脉后交通段动脉瘤.
图片尺寸2000x2141
头颅cta示:左侧后交通动脉瘤.
图片尺寸3024x4032
8个病例带您一起复习颅内动脉瘤这些知识
图片尺寸1000x851
多图|颅内动脉瘤的影像学诊断
图片尺寸900x438
李洪艳,女,48岁,sah,右侧大脑前动脉夹层动脉瘤?
图片尺寸2000x2667
11.19颅内动脉瘤栓塞术
图片尺寸2000x2667
颅内动脉瘤夹闭手术 写美篇患者陈某,女,54岁,以突发头痛入院,头颅ct
图片尺寸2000x2414
前交通动脉瘤显微镜下夹闭1例一一一一赵千山一一一
图片尺寸2000x2667
自发蛛网膜下腔出血ct影像,多为脑动脉瘤破裂出血血一一一一一神经
图片尺寸2000x2666
颅内动脉瘤显微夹闭手术一例
图片尺寸2000x2667
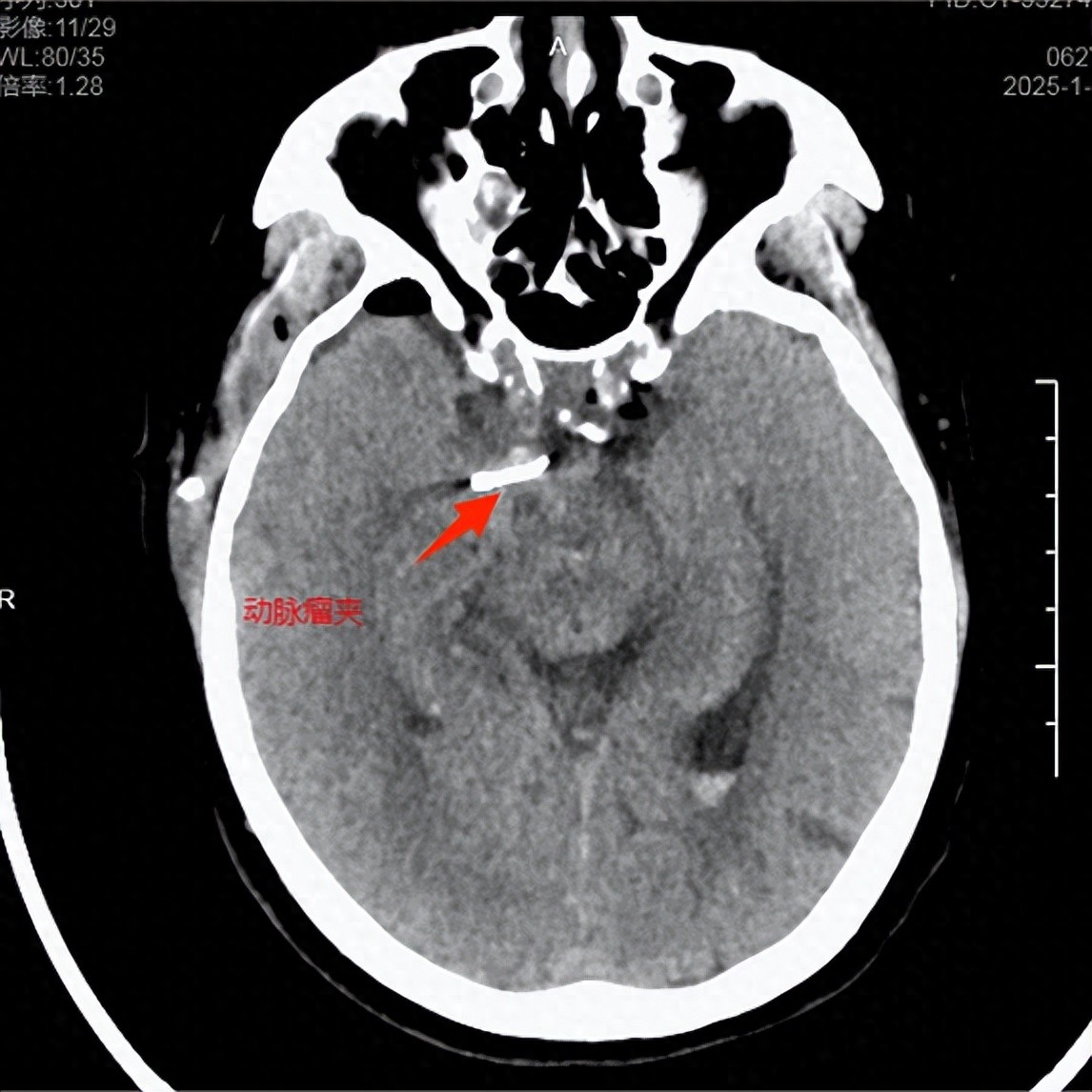
cta显示动脉瘤夹闭完全,载瘤动脉保留完好,无明显的血管痉挛.
图片尺寸459x246
王雪梅,女,44,左侧脑血管畸形动脉瘤
图片尺寸3264x2448
8个病例带您一起复习颅内动脉瘤这些知识
图片尺寸1000x854
cta 示前交通动脉囊状动脉瘤,向前略向下生长
图片尺寸640x646
自发蛛网膜下腔出血ct影像,多为脑动脉瘤破裂出血血一一一一一神经
图片尺寸4032x3024
颅内动脉瘤显微夹闭手术一例
图片尺寸1000x1334