颅内胆脂瘤

右额叶巨大胆脂瘤1例
图片尺寸460x428
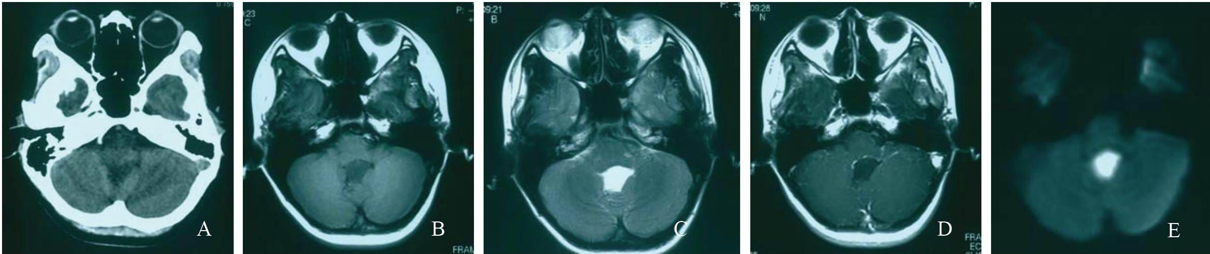
见缝就钻的桥小脑角区胆脂瘤
图片尺寸525x711
多图多表:带你识别颅内囊肿的影像学表现丨实战读片
图片尺寸834x1074
颅内胆脂瘤,是一种缓慢生长的良性肿瘤,好发于颅底的蛛网膜下腔区域.
图片尺寸691x460
颅内胆脂瘤
图片尺寸410x307
颅内胆脂瘤
图片尺寸761x413
贺晓生教授右桥小脑角胆脂瘤案例
图片尺寸2560x1920
颅内胆脂瘤(表皮样囊肿)的诊断与手术治疗 - 好大夫在线
图片尺寸1401x820
不适及并发症胆脂瘤治疗原则:早发现,早手术颅内胆脂瘤又称表皮样囊肿
图片尺寸3543x2258
颅内脂肪瘤
图片尺寸300x300
胆脂瘤合并颅内化脓
图片尺寸500x420
颅内胆脂瘤(表皮样囊肿)的诊断与手术治疗 - 好大夫在线
图片尺寸1844x983
颅内巨大胆脂瘤的双镜联合手术治疗_胆脂瘤_胆脂瘤治疗方式 - 好大夫
图片尺寸1600x900
颅内胆脂瘤, 即颅内表皮样囊肿或珍珠瘤, 约占颅内肿瘤的2% 左右.
图片尺寸640x437
颅中后窝胆脂瘤切除
图片尺寸1205x1200
颅内胆脂瘤
图片尺寸2382x500
年轻人脸部疼痛的元凶从颅内表皮样囊肿谈起
图片尺寸3968x2976
颅内胆脂瘤, 即颅内表皮样囊肿或珍珠瘤, 约占颅内肿瘤的2% 左右.
图片尺寸640x437
颞下岩前入路kawase入路切除中颅窝岩尖胆脂瘤
图片尺寸457x610
刘丕楠教授内镜和颅底外科团队内镜经鼻斜坡胆脂瘤切除术1例
图片尺寸613x487