颅缝CT

最全的颅骨ct解剖及外伤骨折的诊断
图片尺寸1080x810
【请教】颅缝钙化.
图片尺寸640x1599
3月18日复查头颅ct
图片尺寸1920x2208
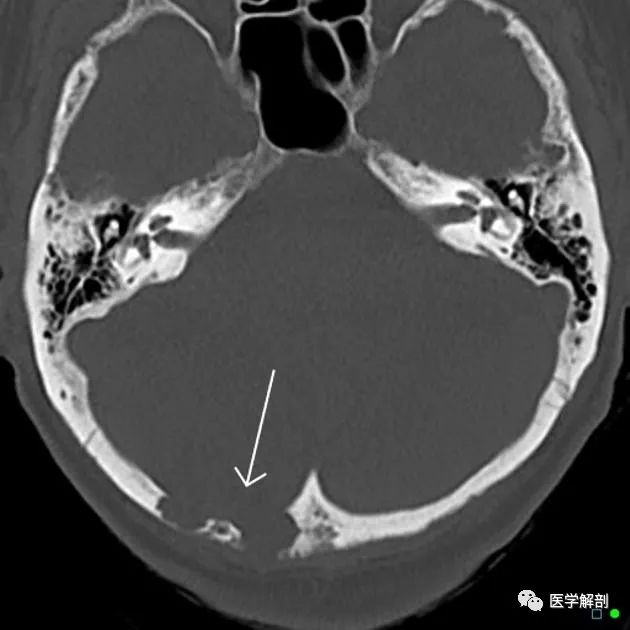
夜班不求人颅骨骨折下
图片尺寸622x740
颅脑ct的正常解剖
图片尺寸1027x563
头颅ct可见额部脑外间隙增宽,额
图片尺寸616x444
刚入院时,查的头颅ct
图片尺寸1600x1200
图1-图7表示常见颅缝早闭在ct三维重建图像上的特征.
图片尺寸488x258
如图ct显示的结果是什么
图片尺寸500x666
一篇文章让颅缝早闭患儿妈妈看到了曙光_河南省
图片尺寸645x412
婴幼儿及青少年姿势性斜头畸形的患病率和严重程度 - 微医(挂号网)
图片尺寸700x804
a,ct示左枕骨无移位骨折(箭头);b,ct增强示左侧横窦血栓形成(箭头);c
图片尺寸1336x982
外院头颅ct:右侧颞枕顶部巨大硬膜外血肿,中线移位,脑组织明显受压.
图片尺寸3986x2257
图片
图片尺寸935x533
日外院片子 2018年4月14日外院片子 2019年9月18日我院256排ct加增强
图片尺寸2667x2000
当地医院在接诊小西以后,根据他的头部异常建议做ct明确诊断.
图片尺寸640x732
丨视频读片丨 颅缝早闭的病例分析【zddp033】
图片尺寸960x720
外伤性蛛血是由于脑表面小动脉破裂引起,外伤6小时以后ct敏感性下降
图片尺寸430x519
(2)颅缝与囟:冠状缝自颅穹隆前中1/3交界处下行
图片尺寸630x630
术前ct平扫
图片尺寸1918x2342