颅脑 核磁共振

二月龄宝宝核磁共振一次通过,妈妈心得分享
图片尺寸682x1023
就像大脑的超级放大镜,让我们能深入观察大脑的
图片尺寸1077x1407
正常脑核磁共振的作用有哪些?
图片尺寸1440x2560
科普 63 | 颅脑磁共振图像
图片尺寸1440x1920
第一次做脑部核磁共振增强版的经历 💉
图片尺寸500x938
医生建议进行核磁共振检查,结果显示宝宝的脑髓鞘发育落后
图片尺寸1252x1565
我院引进先进磁共振成像系统
图片尺寸1024x1336
颅脑磁共振(mri)脑干影像解剖
图片尺寸1080x991
「影像学」认识颅脑核磁共振成像
图片尺寸941x717
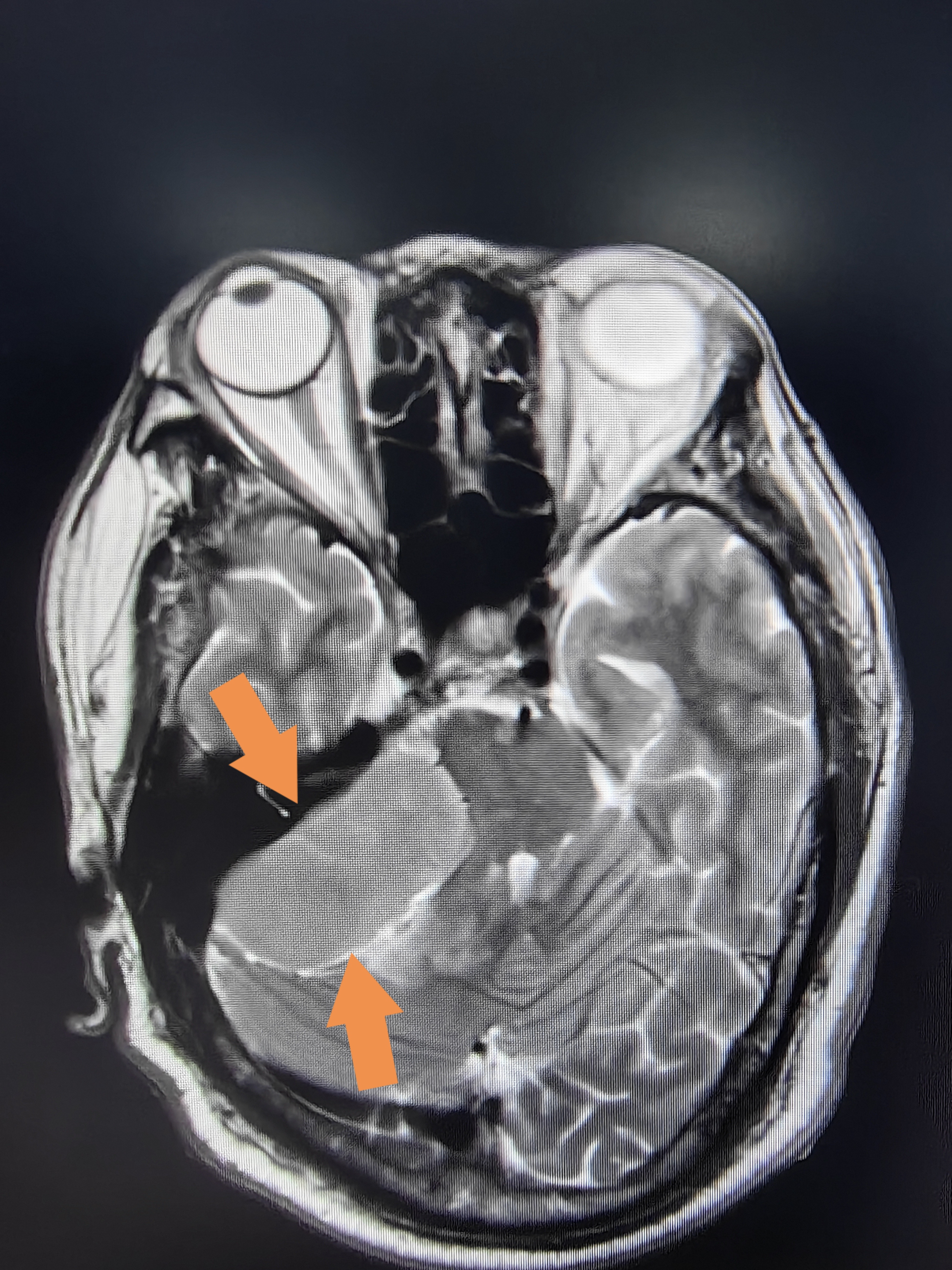
早产儿|这张头颅mri有什么问题?
图片尺寸1125x1401
图片核磁脑部检查图片三叉神经肿瘤磁共振表现图片核磁共振检查图片
图片尺寸3120x4160
图-29:出院时头颅核磁图-30:出院时颈髓核磁三,出院后随访出院后4个月
图片尺寸531x755
共振颅脑核磁影像有白色占位怎么办颅内肿瘤性病变mri诊断颅脑的正常
图片尺寸3120x4160
「影像学」认识颅脑核磁共振成像
图片尺寸792x639
早产儿|这张头颅mri有什么问题?
图片尺寸1125x1411
核磁共振头部检测正常图片颅脑磁共振图片脑部的ct大脑侧面ct结构图脑
图片尺寸1080x2265
脑部核磁共振,哪位老师可以给看下片子
图片尺寸1080x1405
磁共振t1t2:脑部信号揭秘
图片尺寸2560x1250
头颅mr平扫
图片尺寸640x796
额颞叶痴呆颅脑磁共振的影像学表现
图片尺寸869x1073