颅骨粉碎性骨折

颅骨呈凹陷性粉碎性骨折
图片尺寸1200x1310
碎骨片和颅骨暴露可见,脑组织也溢了出来,还夹杂着油漆头发等杂物
图片尺寸426x473
开放性粉碎性凹陷性骨折治疗一例
图片尺寸750x604
脑外伤后颅骨粉碎性骨折复位,脑血肿清除,垂体瘤切除等手术先后完成.
图片尺寸640x480
车祸颅骨粉碎性骨折 - 好大夫在线
图片尺寸4000x3000
车祸颅骨粉碎性骨折 - 好大夫在线
图片尺寸4000x3000
右额部硬膜外血肿;2. 右额部及眼眶颅骨粉碎性骨折;1.
图片尺寸769x646
脑挫伤颅底粉碎性骨折脑脊液漏 - 好大夫在线
图片尺寸1440x1080
车祸颅骨粉碎性骨折 - 好大夫在线
图片尺寸4000x3000
重型闭合性颅脑损伤复杂性颅骨骨折一例颅脑创伤神经重症病例周刊150
图片尺寸600x800
高处坠落伤颅骨骨折
图片尺寸748x748
把生长性颅骨骨折"扼杀"于摇篮中
图片尺寸600x338
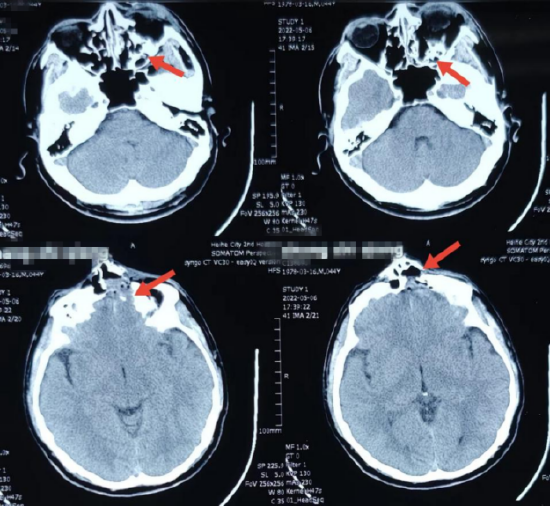
ct显示粉碎性骨折起始于前额及鼻根,沿着颅底及眼眶顶壁,一直延伸至
图片尺寸550x506
颅骨粉碎性骨折
图片尺寸525x308
该骨窗可见额窦开放,额颞部颅骨粉碎性骨折
图片尺寸344x332
讨论处理颅骨粉碎凹陷性骨折常用钛网,钛板链接片,骨水泥,医用ec胶及
图片尺寸426x524
颅骨骨折
图片尺寸540x960
开放性粉碎性凹陷性骨折治疗一例
图片尺寸750x519
右颞顶骨凹陷性粉碎性骨折行颅骨凹陷性骨折复位术后
图片尺寸1200x1600
颅骨骨折都要做手术吗?
图片尺寸640x325