颈内动脉频谱图像

血管超声 | 超声如何辨别颈内动脉与颈外动脉_频谱
图片尺寸640x543
注意收缩期与舒张期转变处!频谱图上一目了然
图片尺寸1054x1999
血管超声 | 超声如何辨别颈内动脉与颈外动脉_频谱
图片尺寸640x480
正常颈动脉频谱
图片尺寸2666x1999
正常椎动脉彩色多普勒血流图彩色血流信号充盈于管腔内,其血流方向
图片尺寸750x590
颈内动脉频谱
图片尺寸768x576
从频谱角度谈颈动脉狭窄分度
图片尺寸916x744
颈动脉频谱
图片尺寸600x406
二维找到颈内动脉和颈外动脉后,可再用频谱多普勒曲线进行验证,颈内
图片尺寸600x440
正常颈内动脉显示低阻型血流频谱,收缩期血流速上升缓慢,双峰间切迹不
图片尺寸1024x768
颈部血管超声正常解剖及常见病的超声诊断标准
图片尺寸1280x960
二维图像 椎动脉椎段因穿越颈椎横突孔而呈阶段性显示,椎动脉内壁光滑
图片尺寸829x599
再看左侧颈总动脉与椎动脉右侧颈总动脉与椎动脉血流频谱方向完全倒置
图片尺寸960x720
颈内动脉血流频谱形态为低阻力型,颈外动脉血流频谱形态为高阻力型,颈
图片尺寸649x689
陈玉杯 右侧颈内动脉c7段狭窄
图片尺寸2000x2667
颈动脉超声检查规范
图片尺寸2248x1080
颈内动脉走形及分段
图片尺寸1080x1700
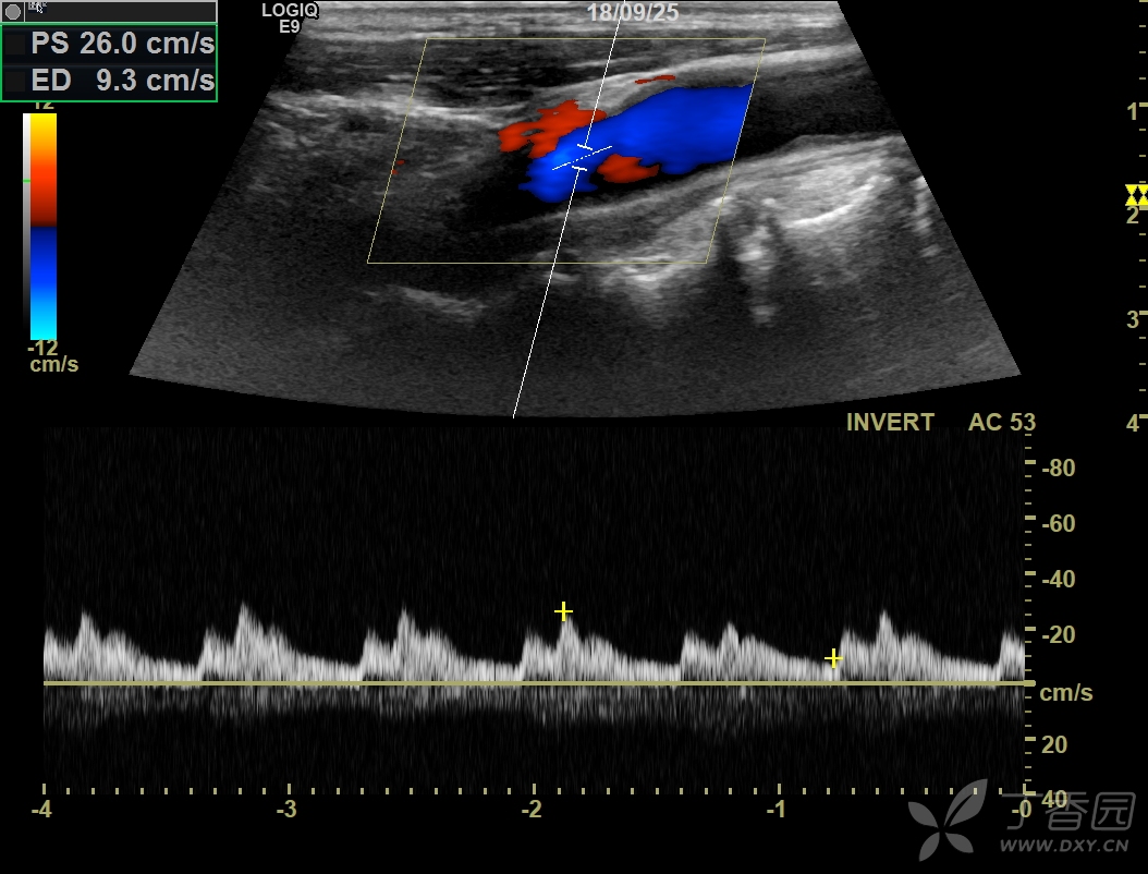
这种频谱图怎么这样啊!
图片尺寸1054x802
(头颈动脉mip图像)
图片尺寸1199x1597
陈玉杯 右侧颈内动脉c7段狭窄
图片尺寸2667x2000