颈椎影像图片

颈椎间盘突出可根据颈椎间盘病理改变的影像学特征分
图片尺寸1149x1200
颈椎不好,为什么需要拍很多种x光片
图片尺寸2275x1279
看看颈椎磁共振患者有手麻需要手术治疗吗
图片尺寸3000x4000
脊髓型颈椎病 #医学影像 脊髓型颈椎病一旦确诊还是尽量早点手拾缮
图片尺寸1020x1948
颈椎 #放射科 #医学影像 - 抖音
图片尺寸1080x1880
显示颈椎斜位影像,1~7颈椎显示于图像正中.2.
图片尺寸1500x2000
健康科普颈椎病线上问诊手机翻拍片子包教会
图片尺寸634x846
影像中颈椎曲度的不同表现
图片尺寸600x334
颈椎出问题,最怕问题出在哪儿?压到脊髓,出现下肢症状!
图片尺寸1024x1372
外伤性颈椎病的微创手术
图片尺寸828x1104
民间治疗颈椎病的偏方_颈椎病偏方_颈椎骨质增生偏方大全
图片尺寸2000x2667
解读颈椎生理曲度变直,颈椎曲度变直的原因
图片尺寸667x483
颈椎x线照片
图片尺寸800x1200
显示颈椎斜位影像,1~7颈椎显示于图像正中.2.
图片尺寸676x500
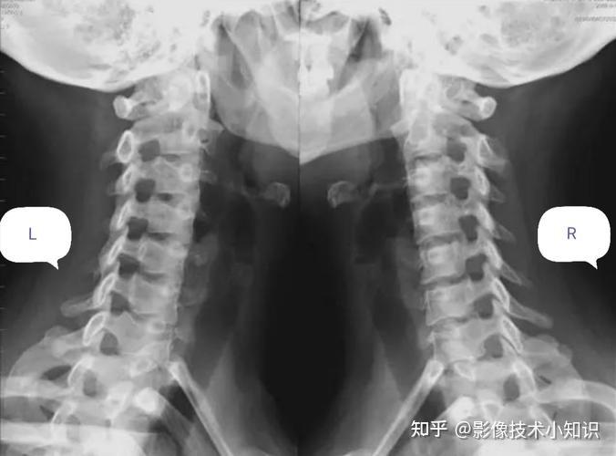
完整颈椎正位,开口看到枕骨大孔和双侧枕骨髁,颞骨乳突,完整的枢椎齿
图片尺寸3000x4000
颈椎影像读取
图片尺寸1080x1284
我的门诊病历: 惨痛教训,颈椎病按摩后导致不全瘫痪,小便失禁
图片尺寸640x1213
颈椎x线片显示c4-5至c7-t1之间的胸椎侧弯伴颈椎病.
图片尺寸1100x1123
颈椎病的x线检查
图片尺寸1280x960
颈椎正侧位dr片 - 医学影像学讨论版 - 爱爱医医学论坛
图片尺寸2460x2460