颈椎狭窄

重庆颈椎管内狭窄医院-重庆颈椎管变窄治疗医院-名医汇
图片尺寸699x502
颈椎椎管狭窄
图片尺寸653x633
生活的美好就在一口心心念念的臊子面——脊髓型颈椎病病例分享
图片尺寸640x383
多节段颈椎管狭窄
图片尺寸680x912
颈椎管狭窄症
图片尺寸567x853
mr颈椎测量规范为评估椎管狭窄提供依据_医学资讯_大夫e站
图片尺寸535x415
颈椎管狭窄发病率高,具体有哪些诱因能导致颈椎管狭窄症?
图片尺寸1024x1024
病例分享 颈椎管狭窄一定需要后路单开门吗?
图片尺寸2000x2000
颈椎椎管狭窄
图片尺寸212x256
颈椎管狭窄了,该怎么办?
图片尺寸500x259
颈椎椎管狭窄 有图有真相
图片尺寸2448x3264
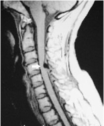
mri显示颈椎有狭窄
图片尺寸900x1200
颈椎管狭窄——前路还是后路?
图片尺寸526x641
人工骨spacer运用治疗颈椎椎管狭窄症一例
图片尺寸2505x3015
病例分享 颈椎管狭窄一定需要后路单开门吗?
图片尺寸2000x2000
病例点评颈椎管狭窄
图片尺寸640x894
颈椎管狭窄要注意些什么
图片尺寸324x211
哪些症状或提示颈椎管狭窄?
图片尺寸551x457
音频病例点评:颈椎管狭窄
图片尺寸640x894
radiologymr颈椎测量规范为评估椎管狭窄提供依据
图片尺寸346x267