颈静脉孔ct

读片大家看看这个颈静脉孔区有问题吗病例帖
图片尺寸1201x710
读片大家看看这个颈静脉孔区有问题吗病例帖
图片尺寸1201x710
头颈部颈静脉孔神经鞘瘤
图片尺寸960x720
提供医学资料 颈静脉孔
图片尺寸1080x810
乙状窦后,硬膜下,经颈静脉孔区上方入路
图片尺寸826x1102
刘振林教授颈静脉孔区软骨肉瘤1例
图片尺寸813x816
正海妙术视界宣武神外dias精致学手术系列之001颈静脉孔区神经鞘瘤
图片尺寸1080x538
头颈部颈静脉孔神经鞘瘤
图片尺寸960x720
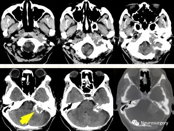
远外侧入路切除颈静脉孔区肿瘤
图片尺寸604x454
颈静脉孔区解剖pptppt
图片尺寸860x645
图24 颈内静脉和椎静脉(磁共振断面)
图片尺寸498x453
颈静脉球瘤的ct与mr表现病例帖
图片尺寸512x605
右侧颈静脉孔区软骨型脊索瘤
图片尺寸571x898
介入医学课件│颈部血管cta成像的临床应用
图片尺寸960x720
介入医学课件│颈部血管cta成像的临床应用
图片尺寸960x720
颈静脉球瘤影像表现丨影像天地
图片尺寸640x480
介入医学课件│颈部血管cta成像的临床应用
图片尺寸960x720
介入医学课件│颈部血管cta成像的临床应用
图片尺寸960x720
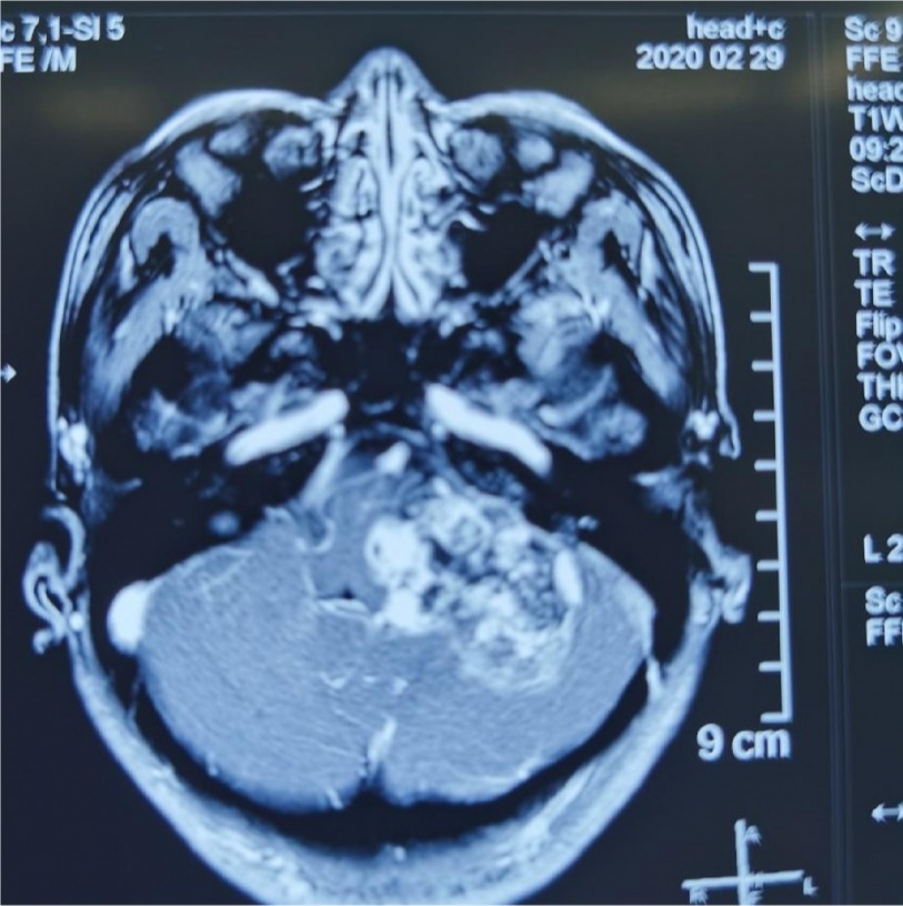
颈静脉孔区大型神经鞘瘤全切手术病例分享
图片尺寸1034x347
罕见的颈静脉孔区颅内外沟通神经鞘瘤
图片尺寸525x636