颗粒变性切片

肝颗粒变性切片红蓝铅笔绘图
图片尺寸1920x1440
肝颗粒变性切片红蓝铅笔绘图
图片尺寸1920x1440
肾颗粒变样生物显微镜标本动物植物细胞载玻片观察实验高校
图片尺寸1080x1080
颗粒变性400
图片尺寸400x533
常规病理组织切片及诊断要点
图片尺寸1080x810
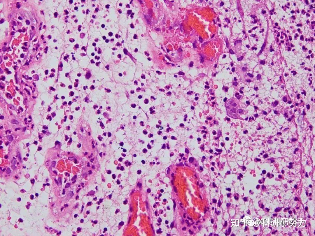
10:肾凝固性坏死 图11:肝脂肪变性 图12:发炎组织 图
图片尺寸1080x1050
病理学实验
图片尺寸1966x1966
病理学组织切片
图片尺寸1440x1080
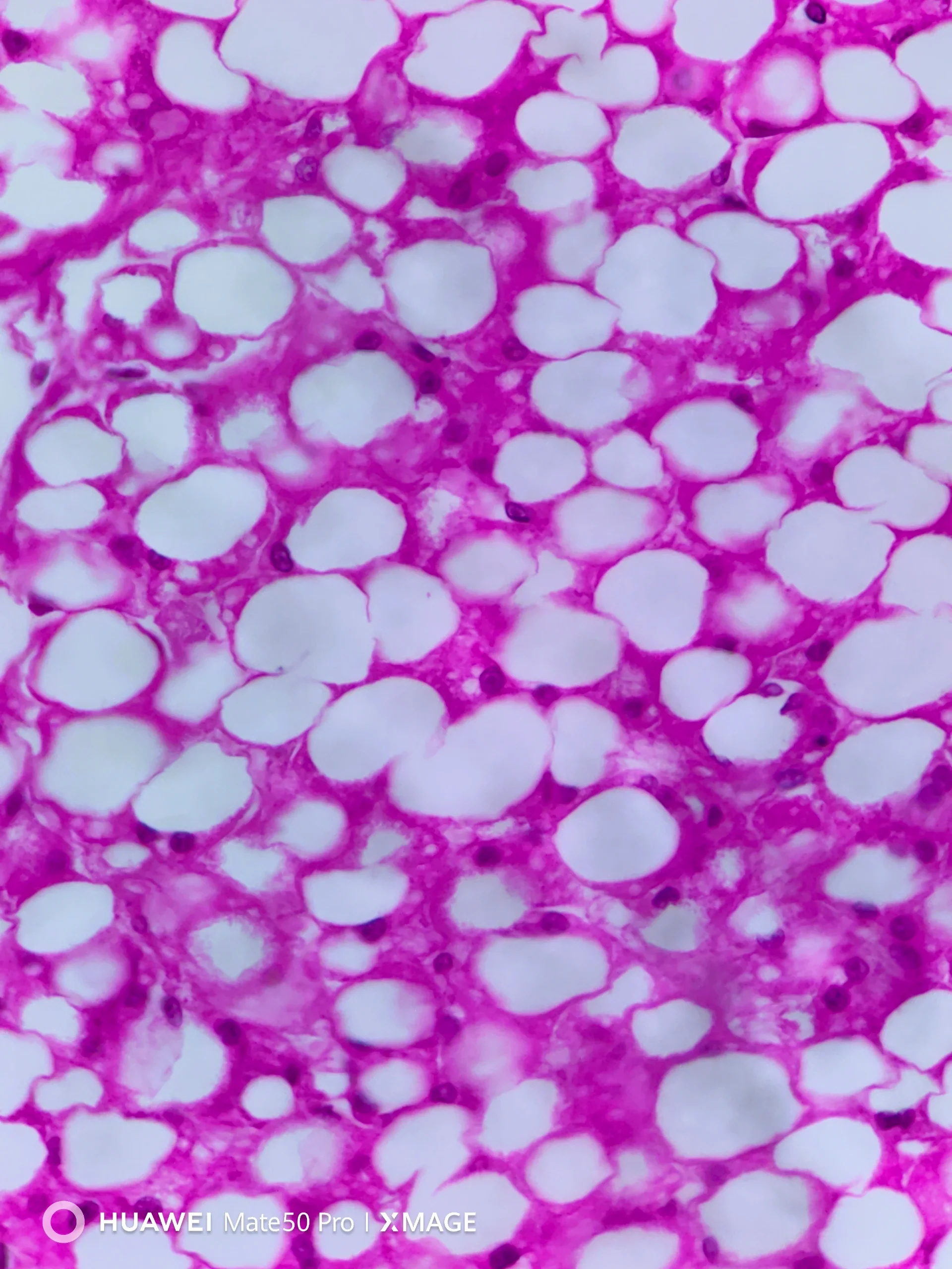
病理学-脂肪变性
图片尺寸1920x2560
病理组织切片
图片尺寸1600x900
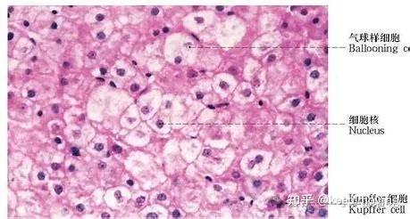
肝脏常见病理变化
图片尺寸459x246
稚水 的想法: 组胚切片
图片尺寸2378x2907
图片尺寸1881x1280
五大组织变性及其病理变化解析
图片尺寸800x762
病理学实验切片
图片尺寸1538x2048
变性 颗粒变性
图片尺寸1080x810
常规病理组织切片及诊断要点
图片尺寸1080x810
肝细胞脂肪变性没想到又到了观察切片华红蓝铅笔的
图片尺寸1920x1957
病理学实验切片
图片尺寸1538x2048
常规病理组织切片及诊断要点
图片尺寸1080x810