额颞叶痴呆

我叫额颞叶痴呆阿尔茨海默病的三弟
图片尺寸599x601
额颞叶痴呆
图片尺寸960x720
额颞叶痴呆
图片尺寸893x431
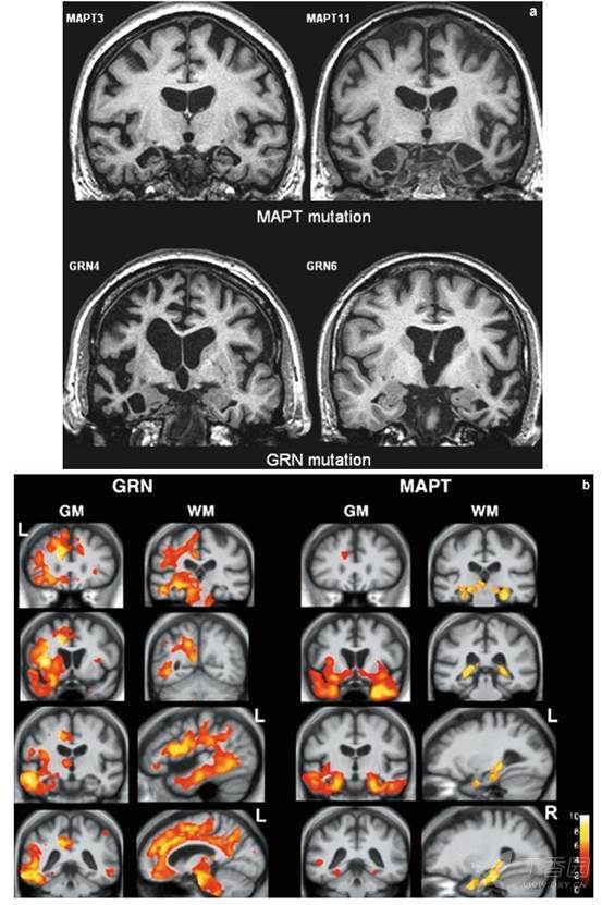
2006 中华精神科杂志 额颞叶痴呆二例的影像学表现
图片尺寸1011x1270
额颞叶痴呆是指中老年患者缓慢出现人格改变,言语障 - 抖音
图片尺寸1036x584
额颞痴呆
图片尺寸448x330
痴呆神经影像改变二 皮质萎缩之 额颞叶痴呆ftd
图片尺寸554x482
异常性行为竟是额叶痴呆所致
图片尺寸640x844
额颞叶痴呆ftd
图片尺寸780x488
痴呆神经影像改变二 皮质萎缩之 额颞叶痴呆ftd
图片尺寸553x831
我叫额颞叶痴呆,阿尔茨海默病的三弟
图片尺寸1080x580
我叫额颞叶痴呆,阿尔茨海默病的三弟
图片尺寸658x658
学显示额颞叶萎缩,而病理检查未发现pick小体及pick细胞的痴呆综合征
图片尺寸294x235
看图说话:路易体痴呆,额颞叶变性及正常压力脑积水的影像学特征丨实战
图片尺寸692x326
诊断挑战:精神病患者的额颞叶痴呆症
图片尺寸397x943
看图说话:路易体痴呆,额颞叶变性及正常压力脑积水的影像学特征丨实战
图片尺寸692x258
我叫额颞叶痴呆,阿尔茨海默病的三弟
图片尺寸500x677
额颞叶痴呆ftd
图片尺寸504x378
性情大变是中年危机还是痴呆的早期症状
图片尺寸624x401
颞叶癫疯病的症状是什么 颞叶癫疯病可能是指颞叶癫痫,症状通常有感觉
图片尺寸1280x1280