颞下窝CT

颞窝硬膜外血肿开不开何时开
图片尺寸512x512
颞窝脑膜瘤原创
图片尺寸1857x2046
颞下窝炎性假瘤.ppt
图片尺寸800x600![【讨论】右颞下窝肿瘤 求治疗 [病例帖]](https://i.ecywang.com/upload/1/img2.baidu.com/it/u=272934454,1343144082&fm=253&fmt=auto&app=138&f=JPEG?w=640&h=480)
【讨论】右颞下窝肿瘤 求治疗 [病例帖]
图片尺寸640x480
颅底ct
图片尺寸960x720
咀嚼肌间隙肿瘤侵犯翼腭窝,颞窝,中颅窝,眼眶本微信平台属个人公益性
图片尺寸1080x810
颞下窝下颌骨成釉细胞瘤:术后软组织缺损修复技巧
图片尺寸468x488
颞骨ct阅片_word文档在线阅读与下载_文档网
图片尺寸1080x810
挑灯难找的影像经典最全颞骨详细ct解剖
图片尺寸720x540
颞骨正常ct解剖附图
图片尺寸920x1302
左侧颞下窝肌上皮瘤
图片尺寸512x512
颞窝硬膜外血肿,开不开?何时开?
图片尺寸512x512
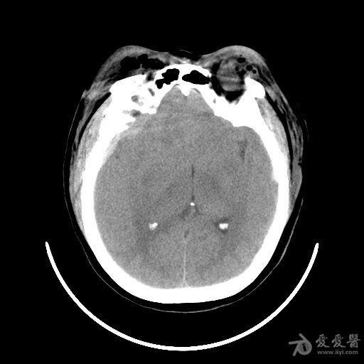
急查ct显示左侧颌面部,颞下窝,左侧额颞顶部软组织内见多发气体密度影
图片尺寸512x512
颞下窝炎性假瘤.ppt
图片尺寸920x690
【辅助检查】眼眶ct及mri检查提示:右侧颞窝占位,邻近眶骨及额骨破坏.
图片尺寸640x480
颞窝脑膜瘤原创
图片尺寸1899x2130
左侧中颅窝蛛网膜囊肿
图片尺寸812x662
颅底ct
图片尺寸960x720
颅底ct
图片尺寸960x720
颅底解剖及相关病变丨ct平扫的价值
图片尺寸1080x1238