颞叶影像图片

分享一例左侧颞叶星形胶质瘤的核磁影像
图片尺寸1280x676
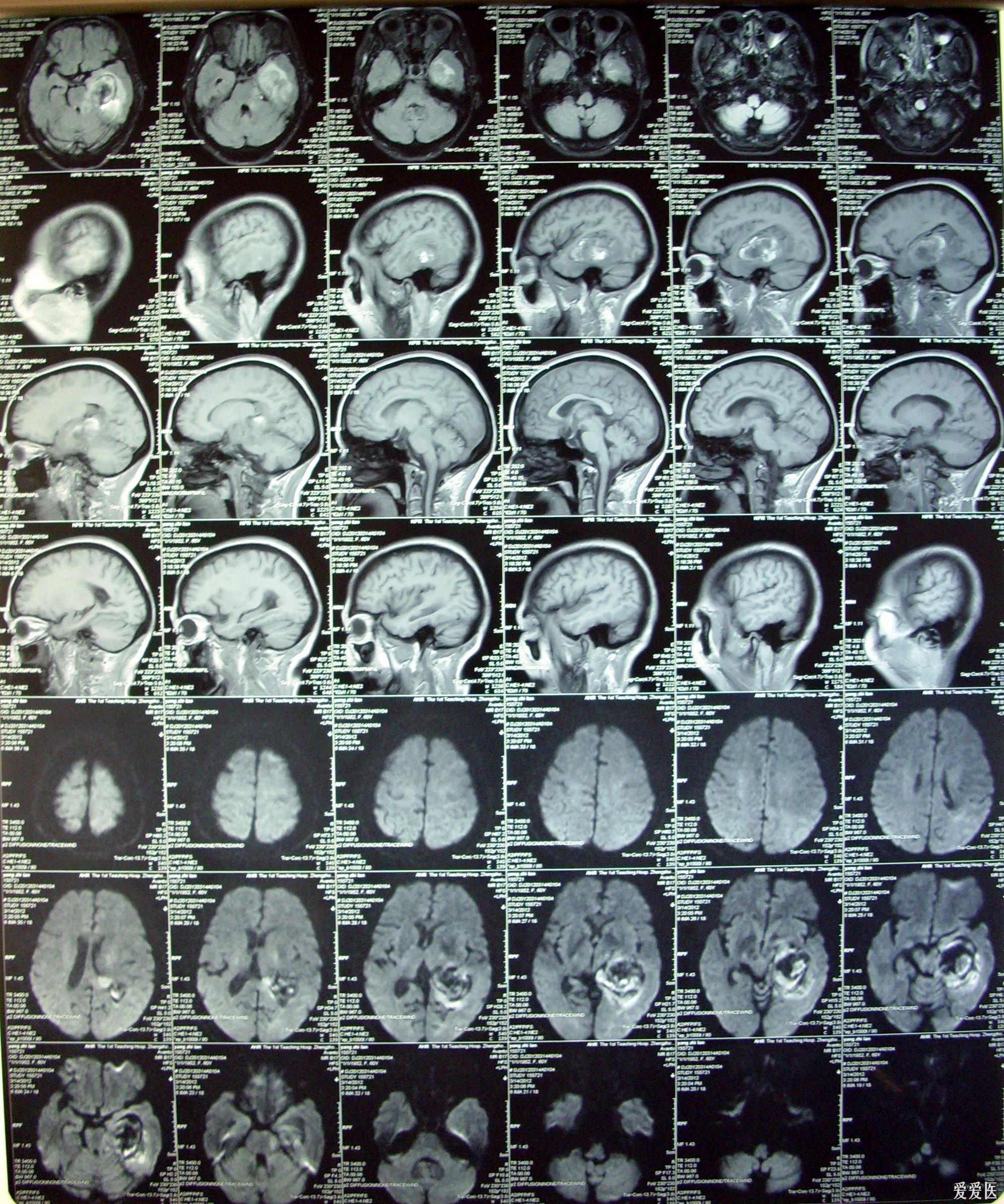
王成丽,女,58岁,右侧颞叶出血
图片尺寸3224x2165
mri影像显示,患者左侧额颞叶部较大面积血肿
图片尺寸500x503
好莱坞影星患额颞叶痴呆,中青年警惕脑功能异常
图片尺寸640x347
右侧颞叶病灶(头下垂的重要性)
图片尺寸2560x3414
颞叶胶质瘤能治愈吗?
图片尺寸600x392
左侧颞叶占位
图片尺寸1867x2199
左侧颞叶占位
图片尺寸1851x2208
左侧颞叶占位
图片尺寸1991x2387
左侧颞叶占位
图片尺寸1790x2253
好莱坞影星患额颞叶痴呆,中青年警惕脑功能异常
图片尺寸554x482
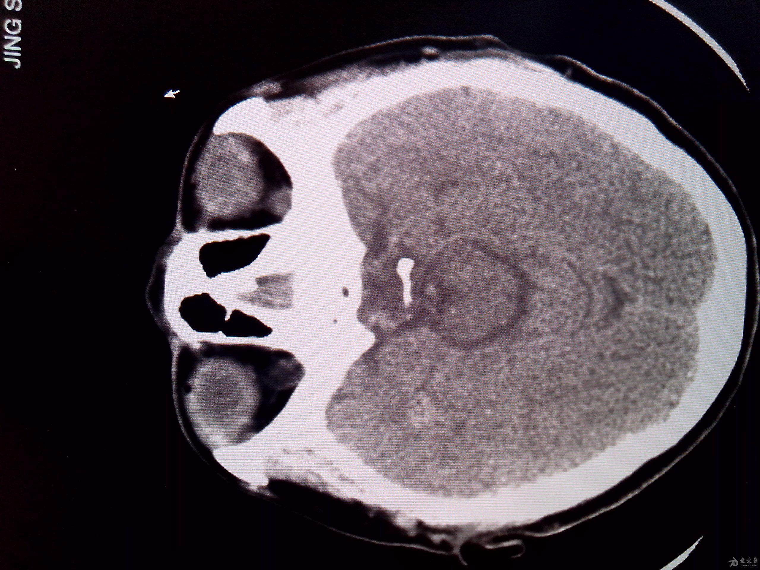
大脑颞叶高密度 - 医学影像学讨论版 - 爱爱医医学论坛
图片尺寸2560x1920
影像学下的脑出血病变(有图有真相二--颞叶脑出血)
图片尺寸2404x2160
神经影像:颞叶t2wi/flair高信号病变的鉴别诊断
图片尺寸1078x574
左侧颞叶占位
图片尺寸1856x2112![左颞叶圆形短t1短t2信号,ct高密度,请会诊. [病例帖]](https://i.ecywang.com/upload/1/img1.baidu.com/it/u=1089292978,868928094&fm=253&fmt=auto&app=138&f=JPEG?w=500&h=889)
左颞叶圆形短t1短t2信号,ct高密度,请会诊. [病例帖]
图片尺寸592x1052
搜索一下这类讲脑mr解剖的文章,一到颞叶层面好多内容就选择性忽略了
图片尺寸661x686
头颅ct检查示,右侧颞叶出血(红圈所示)
图片尺寸1147x806
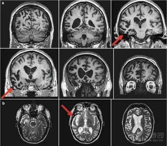
宫剑教授病例分享(二十五):儿童颞叶蛛网膜囊肿一旦破裂,要积极手术
图片尺寸929x936![【读片】右颞叶,有ct,mr及强化!公布病理结果! [病例帖]](https://i.ecywang.com/upload/1/img1.baidu.com/it/u=968040511,215335479&fm=253&fmt=auto&app=138&f=JPEG?w=333&h=500)
【读片】右颞叶,有ct,mr及强化!公布病理结果! [病例帖]
图片尺寸1024x1536