颞骨乳突骨折

蝶骨与颧骨的分界线,枕骨与颞骨乳突部分界线(枕乳缝)
图片尺寸430x532
病例9:颞骨(鳞部)骨质薄弱,无法实现力的传导,较容易发生骨折并在受力
图片尺寸553x599
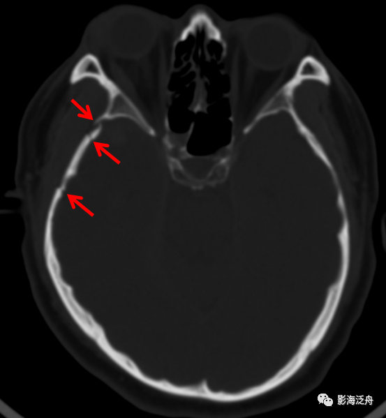
骨窗位见右颞骨近乳突处骨折,左颞骨折!
图片尺寸750x926
枕骨,颞骨有骨折吗
图片尺寸2848x2136
颧骨,颧弓,上颌骨骨折_颧骨颧弓骨折_颧骨颧弓骨折治疗方式 - 好
图片尺寸415x353
颞骨骨折
图片尺寸500x628
病例13:上颌关节骨折,颧骨骨折,乳突骨折以及颅底骨骨折诊断的诊断
图片尺寸1014x600![上颌骨骨折 [病例帖]](https://i.ecywang.com/upload/1/img1.baidu.com/it/u=3209247741,818363158&fm=253&fmt=auto&app=138&f=JPEG?w=674&h=500)
上颌骨骨折 [病例帖]
图片尺寸1774x1316
右侧颧弓骨折(红箭),注意对照前文的解剖标注图里的标注区2,颞骨与
图片尺寸530x669
③颅后窝骨折(fracture of posterior fossa) 颞骨岩部骨折出现battle
图片尺寸1080x810
面颅骨复杂性骨折求意见
图片尺寸2048x1536
右额叶脑挫裂伤,蛛网膜下腔出血,左颞骨骨折
图片尺寸1080x1027
颞骨骨折的概述
图片尺寸300x375
【急诊】颧骨骨折,上颌骨骨折ct表现
图片尺寸640x596
术前ct:ct提示颞骨纵行骨折,骨折线经外耳道后壁至鼓室,累及膝状神经
图片尺寸780x684
无忧文档 所有分类 医药卫生 耳部疾病1ppt 颞骨骨折(fracture of
图片尺寸1080x810
面颅骨复杂性骨折求意见
图片尺寸2048x1536
右侧颧弓粉碎性骨折(红箭头),右侧下颌窝周围颞骨多发线性骨折(绿箭).
图片尺寸831x492
颞骨乳突高分辨ct图解.#干货分享 #医学影像 #放射科 # - 抖音
图片尺寸1080x2060
求助
图片尺寸783x833