飞鸟征超声图片
![【请教】谁能解释一下肝脏超声中的"飞鸟征","工"字征 [精华]](https://i.ecywang.com/upload/1/img0.baidu.com/it/u=2009756914,2739013318&fm=253&fmt=auto&app=138&f=JPEG?w=500&h=375)
【请教】谁能解释一下肝脏超声中的"飞鸟征","工"字征 [精华]
图片尺寸640x480
飞鸟征: 右肋斜切 分支为肝门静脉主干【鸟身子】
图片尺寸750x556
【请教】谁能解释一下肝脏超声中的"飞鸟征","工"字征
图片尺寸640x480
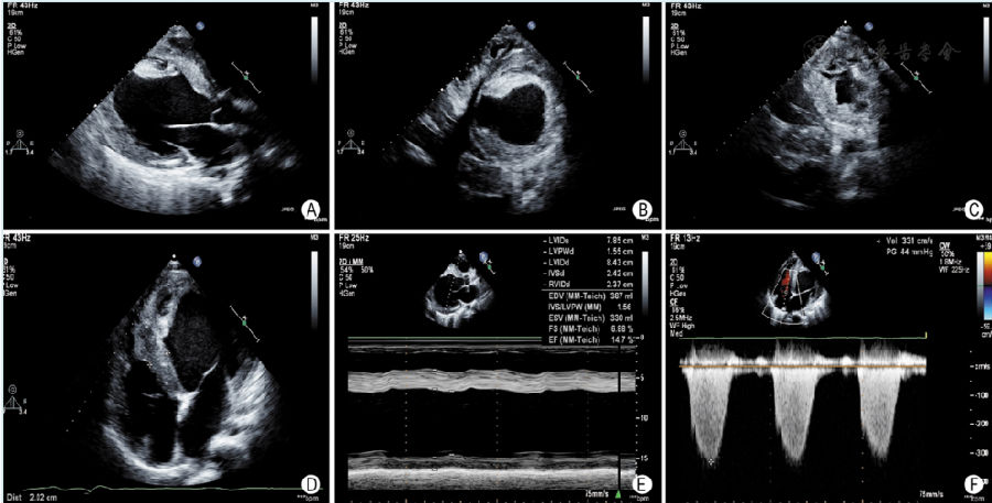
danon病超声表现1例
图片尺寸900x457
山东住院医师超声诊断科消化系统章节练习20160117
图片尺寸394x623
飞鸟征的彩色多普勒
图片尺寸750x556![形形{banned}"飞鸟征,小鸭征,米老鼠征"[非原创] - 超声医学讨论版](https://i.ecywang.com/upload/1/img1.baidu.com/it/u=3270579066,3948970178&fm=253&fmt=auto&app=138&f=JPEG?w=640&h=478)
形形{banned}"飞鸟征,小鸭征,米老鼠征"[非原创] - 超声医学讨论版
图片尺寸640x478
"动物世界""---形形色色"飞鸟征,小鸭征,米老鼠征" - 超声医学讨论版
图片尺寸1070x797
海鸥征b.飞鸟征c.驼峰征d.
图片尺寸501x413
超声医学副高专项练习合集
图片尺寸551x395
肝脏超声诊断
图片尺寸1027x863
腹部超声检查常用切面
图片尺寸806x565![形形{banned}"飞鸟征,小鸭征,米老鼠征"[非原创] - 超声医学讨论版](https://i.ecywang.com/upload/1/img1.baidu.com/it/u=1732453748,689397629&fm=253&fmt=auto&app=138&f=JPEG?w=640&h=478)
形形{banned}"飞鸟征,小鸭征,米老鼠征"[非原创] - 超声医学讨论版
图片尺寸640x478![形形{banned}"飞鸟征,小鸭征,米老鼠征"[非原创] - 超声医学讨论版](https://i.ecywang.com/upload/1/img1.baidu.com/it/u=2788551410,4060067854&fm=253&fmt=auto&app=138&f=JPEG?w=640&h=477)
形形{banned}"飞鸟征,小鸭征,米老鼠征"[非原创] - 超声医学讨论版
图片尺寸640x477
患者,低热,清洁灌肠后,中腹部超声声像图可见融合成团的异常光团
图片尺寸765x533![形形{banned}"飞鸟征,小鸭征,米老鼠征"[非原创] - 超声医学讨论版](https://i.ecywang.com/upload/1/img1.baidu.com/it/u=1984431690,2196607278&fm=253&fmt=auto&app=138&f=JPEG?w=640&h=480)
形形{banned}"飞鸟征,小鸭征,米老鼠征"[非原创] - 超声医学讨论版
图片尺寸640x480![形形{banned}"飞鸟征,小鸭征,米老鼠征"[非原创] - 超声医学讨论版](https://i.ecywang.com/upload/1/img1.baidu.com/it/u=2726995273,89926939&fm=253&fmt=auto&app=138&f=JPEG?w=640&h=479)
形形{banned}"飞鸟征,小鸭征,米老鼠征"[非原创] - 超声医学讨论版
图片尺寸640x479
肝脏超声标准切面图示
图片尺寸920x1302
超声内镜经典病例鸟嘴征
图片尺寸800x810![形形{banned}"飞鸟征,小鸭征,米老鼠征"[非原创] - 超声医学讨论版](https://i.ecywang.com/upload/1/img1.baidu.com/it/u=1564654031,37050188&fm=253&fmt=auto&app=138&f=JPEG?w=640&h=475)
形形{banned}"飞鸟征,小鸭征,米老鼠征"[非原创] - 超声医学讨论版
图片尺寸640x475