食管壁组织分层

胃食管反流会诱发食管癌?
图片尺寸335x295
组织胚胎学实验考试图谱5
图片尺寸1080x810
早期食管病变串讲0926
图片尺寸1080x810
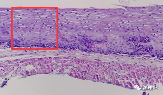
早癌诊断基础食管黏膜层微血管结构表现
图片尺寸899x602
组织胚胎学课件-消化管 1上皮 2固有层 3粘膜肌 6外膜 食管esophagus
图片尺寸1080x810
锐赛小课堂肿瘤篇-临床综述:食管腺癌研究进展
图片尺寸579x353
食道癌分期(ajccuicc发布的食管癌最新tnm分期(2009,第七版))ppt
图片尺寸1080x810
早癌诊断基础食管黏膜层微血管结构表现
图片尺寸900x290
所有分类 高等教育 医学 消化系统1ppt 消化系统组织学要点 二,食管
图片尺寸1080x810
(四)食管壁分层左心房压迹:左心房增大时,可压迫食管,压迹更加明显左
图片尺寸829x585
关于早期食管癌您需要知道的医学常识
图片尺寸972x654
食管
图片尺寸1600x930
图-食管横切
图片尺寸297x256
食管下段鳞状上皮被化生的柱状上皮替代;(二) 组织病理学变化:(一)
图片尺寸633x298
食管癌扫盲篇
图片尺寸576x437
显微镜下食管横切面组织
图片尺寸1200x800
早癌诊断基础食管黏膜层微血管结构表现
图片尺寸554x324
最全的组织学和胚胎学 消化系统ppt
图片尺寸1080x810
做胃镜检查,发现"食管黏膜下隆起",怎么回事?_内镜_粘膜_手术
图片尺寸1080x1212
食管表浅癌学习笔记02part1
图片尺寸600x455