食管癌ct影像

食管癌术前评估 - 医学影像学讨论版 - 爱爱医医学论坛
图片尺寸512x512
ct提示胸下段食管巨大肿瘤
图片尺寸640x854
胸部ct:食管中上段部分管壁不规则增厚,考虑食管癌;邻近周围多发肿大
图片尺寸735x408
食管一线之光晚期食管癌患者应用免疫联合化疗一线治疗2周期即达pr
图片尺寸619x482
胸腹腔镜下食管癌根治术1例
图片尺寸4032x3024
有图有真相一文掌握食管癌影像学诊断要点
图片尺寸525x338
食管癌同步放化免疫治疗(非研究病例)
图片尺寸1126x1502
ct提示食管占位诊断很简单但却是鉴别诊断里都懒得提起的一个
图片尺寸4160x3120
食管癌术后14年. - 医学影像学讨论版 - 爱爱医医学论坛
图片尺寸1027x1725
晚期食管癌,不能进食,介入支架植入,开通食管,进食!
图片尺寸1080x810
食管占位(癌)诊治过程
图片尺寸660x431
ct检查发现食管癌病灶较大7x5cm,已压迫气管分叉及左右主支气管,尤其
图片尺寸2137x1200
南阳胸科医院食管癌治疗
图片尺寸1080x1439
食道癌科普及影像分析
图片尺寸960x720
食道癌是什么原因引起的?症状有哪些?如何预防?请看此文
图片尺寸640x960
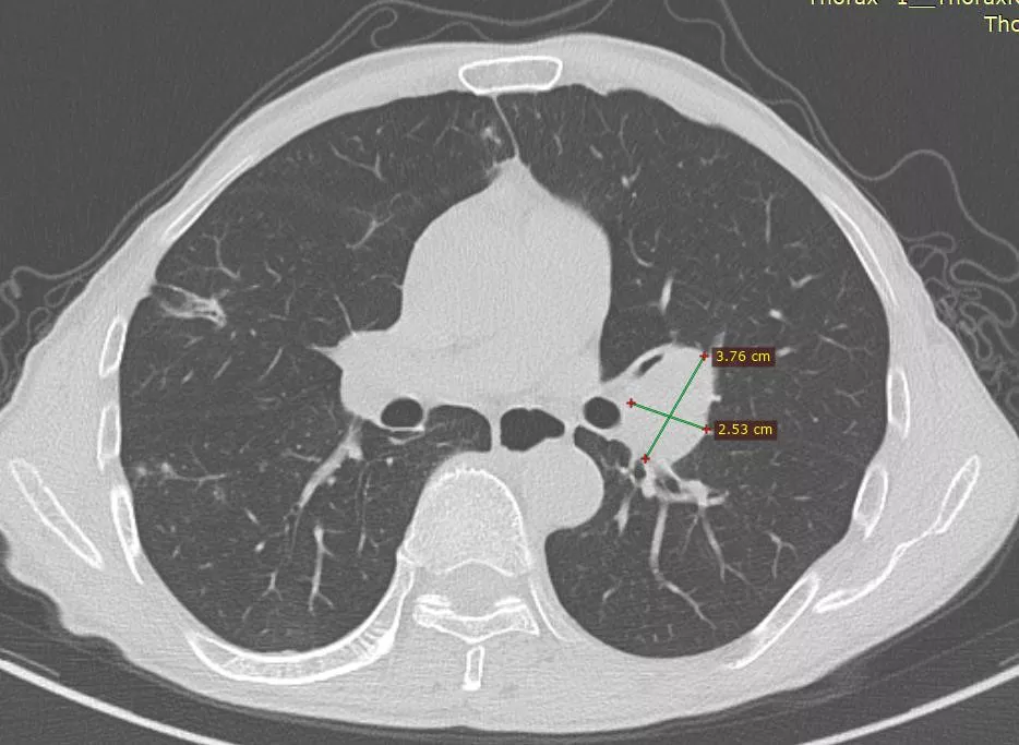
结合影像检查结果(胸部增强ct,pet-ct)提示食管肿瘤及淋巴结明显缩小
图片尺寸942x954
大医小癌答疑回顾二
图片尺寸934x683
快速缩瘤持续获益免疫治疗为晚期食管鳞癌患者开启新的治疗时代
图片尺寸1080x709
樊青霞教授组稿周然食管癌典型病例二
图片尺寸660x344
癌症≠绝症 一名局部晚期食管癌病人近日在我院治愈出院
图片尺寸588x401