食管癌x线

中晚期食道癌的x线诊断及内支架植入治疗ppt
图片尺寸920x690
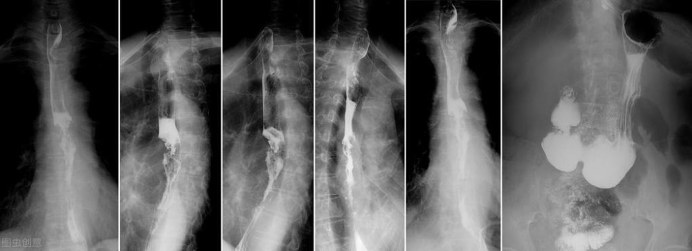
钡剂造影下的食管癌
图片尺寸640x480
中晚期食道癌的x线诊断及内支架植入治疗pdf19页
图片尺寸792x594
食管中段占位(食管癌)
图片尺寸634x800
食管癌x线钡餐
图片尺寸200x200
食管癌
图片尺寸1200x594
食道癌的早期症状表现
图片尺寸750x500
食管肿瘤的影像诊断
图片尺寸923x708
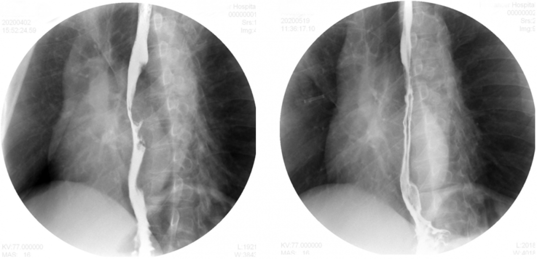
男性72岁食管癌术后14年
图片尺寸1027x1725
消化外科疾病:食管癌
图片尺寸476x1087
食道癌科普及影像分析
图片尺寸960x720
晚期食管癌,不能进食,介入支架植入,开通食管,进食!
图片尺寸1080x810
食道癌科普及影像分析
图片尺寸960x720
咽喉干燥,如鲠在喉,警惕食管癌!
图片尺寸532x498
诊断依据是什么?
图片尺寸264x269
食管x光检查是一种利用钡液的摄影法.
图片尺寸400x345
快速缓解,疗效明确:免疫联合化疗新辅助2周期,iiib期食管鳞癌实现术
图片尺寸1080x521
食道癌能否放置支架的问题
图片尺寸1430x1722
食道癌
图片尺寸660x634
食管癌发病后身体有什么特征?如何预防?医生给您讲清楚
图片尺寸1000x363