食脑

越来越年轻化胆固醇高不能吃什么食物
图片尺寸484x300
从发育的视角看大脑现代大脑分区
图片尺寸1024x893
总对孩子大吼大叫因为大脑有这违章建筑快来学习反控制吧
图片尺寸541x522
危险!美国游客在游泳后感染了"食脑变形虫":正在治疗
图片尺寸1200x674
与大脑形状非常相似的核桃,自然而然地成了"补脑"食物的代表
图片尺寸640x549
d57为什么幸福玩家需要学脑科学
图片尺寸1280x1218
最重要的是,僵尸不可能通过啃食人类的大脑来维持一种健康的生活方式
图片尺寸727x485
万圣节老外吃人脑啃脑嗾嫦嘣诖
图片尺寸640x360
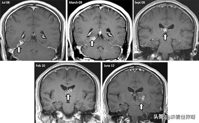
美国又发现食脑虫患者只有四人幸存
图片尺寸1152x720
大脑解剖ppt
图片尺寸1080x810
在你脑的其他部分需要做决定时,大脑是最关键的地方.
图片尺寸1963x1280
发烧会烧坏脑子?
图片尺寸1200x900
致命的食脑恶魔,死亡率高达97%,游泳时大脑是如何被吃掉的
图片尺寸1728x1080
美国再次出现食脑虫感染病例,致死率高达97%,会出现人传人吗?
图片尺寸640x454
neuralink 与大脑的神奇未来·第二部分:大脑
图片尺寸660x528
体内怪物第六季第10集食脑阿米巴
图片尺寸1728x1080
推荐开发左右脑的书,我是成人,成人用
图片尺寸1400x787
头条问答 - 如何看待美国消失了20多年的"食脑虫"再现呢?(11个回答)
图片尺寸640x397
脑科学的课程笔记
图片尺寸2048x879
男子感染后危及生命(食脑变形虫)_探秘志
图片尺寸561x346