食道异物ct

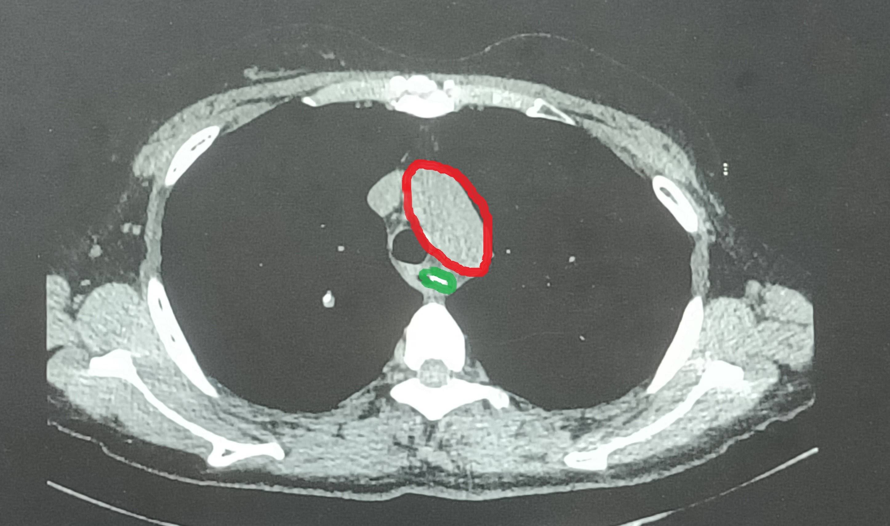
ct提示食管异物并纵膈脓肿形成
图片尺寸1920x1080
粽子虽美味,食用需谨慎_赵先生_异物_食管
图片尺寸512x512
食管异物之"枣核"丨ct表现_手机搜狐网
图片尺寸492x481
ct显示女童食道内有异物
图片尺寸800x471
经食道ct检查发现,张先生的食管上段,有一个异物,两端尖锐,很有可能
图片尺寸852x694
ct示:食管异物!
图片尺寸3022x4030
ct提示食管占位诊断很简单但却是鉴别诊断里都懒得提起的一个
图片尺寸4160x3120
卡个鱼刺竟然要拍ct?_食管异物_症状表现_检查 - 好大夫在线
图片尺寸4608x3456
便找来了消化内镜中心的郑权主任前去会诊,看是否能在内镜下取出异物
图片尺寸761x560
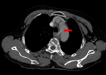
考虑食管异物可能,急查颈部ct结果提示食管上段异物影,且穿透食道管壁
图片尺寸550x413
【病例】消化道及呼吸道异物4例ct
图片尺寸948x586
稍复杂的食道异物
图片尺寸4128x2322
稍复杂的食道异物
图片尺寸4128x2322
食道异物
图片尺寸960x1280
阿姨吃粽子"囫囵吞枣",被3厘米枣核卡住食道_异物
图片尺寸2892x1710
茂名68岁的奶奶鱼刺卡喉因为这个举动差点丢了命
图片尺寸345x244
鸡骨卡喉后原地蹦跳意想不到的事情发生了
图片尺寸1280x1511
前的ct影像,在食管入口处见一高密度影,结合患者病史,考虑为异物枣核
图片尺寸1600x1200
食管内竟取出4cm长的鸡骨头……_异物
图片尺寸607x370
入院ct检查【定期复查】近期患者遵医嘱行下一周期治疗再次入院,复查
图片尺寸640x640