餐叉样畸形

餐叉- 骨科与显微外科专业讨论版 - 爱爱医医学论坛
图片尺寸640x480
【重口味】为什么说医学教科书特别像烹饪食谱?_胆囊
图片尺寸1053x495
高考中考临近了,学子们要注意预防运动受伤,不可大意失荆州
图片尺寸638x427
餐叉畸形 - 于洪冰 - 抖音
图片尺寸1920x1440
人物| 史上最大药害事件女英雄 刚出生四肢似海豹(组图) – 亚特兰大
图片尺寸200x329
23个骨科常见体征【图文分解】-健康频道-手机搜狐
图片尺寸612x305
右腕部餐叉畸形的诊断和治疗? - 骨科与显微外科专业讨论版 - 爱爱医
图片尺寸640x480
北京住院医师外科Ⅰ阶段:骨科必看题库知识点(最新版) - 考试题库 - 9
图片尺寸424x315
30 个骨科体征,总有一个你没见过_畸形
图片尺寸378x273
丁香园论坛
图片尺寸816x460
右腕部餐叉畸形的诊断和治疗? - 骨科与显微外科专业讨论版 - 爱爱医
图片尺寸640x480
蓝总你那么有腔调,请问这人你认识么?_kds宽带山
图片尺寸500x390
右腕部餐叉畸形的诊断和治疗? - 骨科与显微外科专业讨论版 - 爱爱医
图片尺寸640x480
中国每30秒诞生一个畸形宝宝,多半和这5种食物有关,孕妈要注意|孕妇|
图片尺寸660x679
含花待放的少女因为内战的关系骨瘦如柴到像乾尸,结果经过一个月后竟
图片尺寸850x450
孩子单杠上跌落骨折,医生25分钟完成复位固定手术-手外科--徐州仁慈医
图片尺寸500x312
【讨论】小颌畸形 - 口腔医学专业讨论版 - 爱爱医医学论坛
图片尺寸1280x960
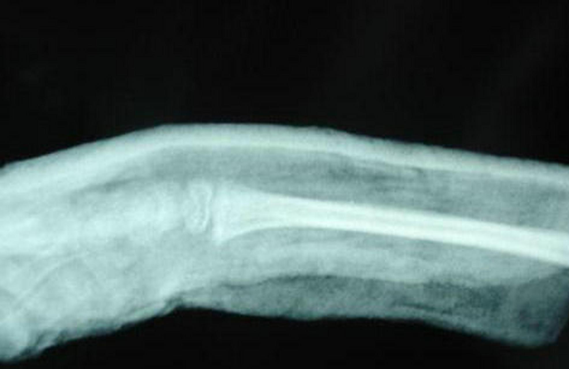
#科普知识竞赛#餐叉畸形即colles骨折,即桡骨下端骨折的一种典型畸形.
图片尺寸1972x1280
营养不良的孩子,身上都有这4种特征!你家孩子是不是? - 启示号
图片尺寸831x651
一孕妇被查出怀了畸形儿,缺少重要部位,这样的孩子该不该生下来 ezp9
图片尺寸640x466