马兜铃酸肾病

其时马兜铃酸肾病的发病情形不详,这些申报并未引起卫生部门的正视.
图片尺寸582x365
巴尔干肾病马兜铃酸肾病与中草药肾病
图片尺寸1028x772
马兜铃酸被证实为强致癌物,那如今的中医是否需要打进"冷宫"?
图片尺寸640x400
虽然在一定程度上是一种害草,但农村一直有采挖马甲
图片尺寸537x402
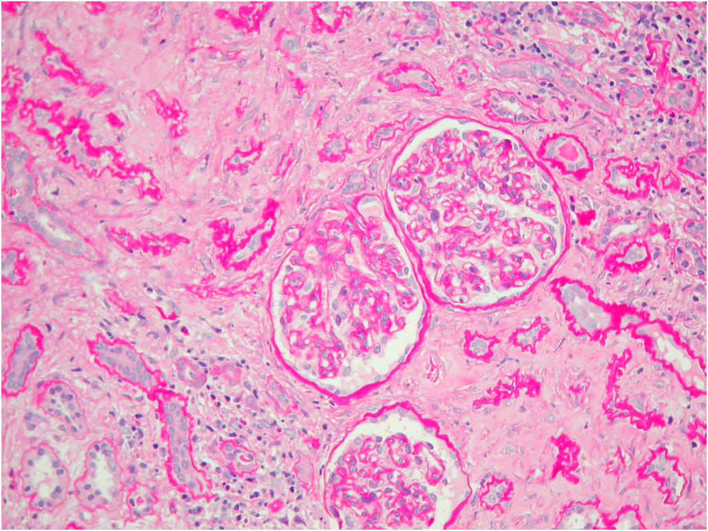
br02j02pharmacol马兜铃酸肾病进展的新机制
图片尺寸600x696
痛风有救了!肾脏损伤,甚至危及生命.一种草,用水泡一泡
图片尺寸800x417
马兜铃,含有的马兜铃酸具有致癌作用.
图片尺寸720x960
巨花马兜铃学名为"aristolochia grandiflora"这种植物的奇特之处在於
图片尺寸1200x1963
吃大量的高蛋白饮食,如大鱼大肉等,会产生过多的尿酸和尿素氮等代谢
图片尺寸690x916
专家:马兜铃酸具有明显肾毒性 但致肝癌证据不足
图片尺寸400x289
马兜铃有毒植物马兜铃酸具有致癌性
图片尺寸900x1200
由马兜铃酸造成的肾病我们就称为马兜铃酸肾病,这种损伤是终身的,永恒
图片尺寸450x323
1张图记全含马兜铃酸的中草药最强致癌物伤肝伤肾伤膀胱比烟草狠多了
图片尺寸700x350
马兜铃酸致肝癌?医疗圈"吵"得厉害 食药监总局这样回应
图片尺寸481x311
马兜铃酸:老祖宗吃了没事,是因为他们死得早
图片尺寸690x472
含马兜铃酸中草药及马兜铃酸肾病的循证医学观点
图片尺寸1536x2338
pnas:马兜铃酸可致肾功能衰竭和癌症发生
图片尺寸423x283
一名比利时医生首先发现马兜铃科植物含有的马兜铃酸能够导致肾病
图片尺寸787x625
中药 马兜铃1.jpg
图片尺寸600x404
或是肾脏在呼救】5,慢性肾小管间质病变:如慢性肾盂肾炎,尿酸性肾病
图片尺寸400x230