马松染色

特殊染色案例介绍:马松(masson)染色实验
图片尺寸2560x1920
masson染色病理实验技术服务
图片尺寸1000x1000
masson染色读图 马松染色看纤维化程度我们组做的是心脏相关,所以我看
图片尺寸990x1280
masson三色染色是结缔组织染色中最经典的一种方法,又称马松染色,是
图片尺寸400x400
【求助】皮肤组织masson染色
图片尺寸1024x1360
【求助】 关于皮肤组织的masson染色?
图片尺寸1392x1040
求助大神,马松染色求助!-丁香实验
图片尺寸3456x4608
马松染色试剂盒 4×10ml masson staining kit ph1427 phygene
图片尺寸800x800
masson染色
图片尺寸800x600
masson三色染色法
图片尺寸1100x825
图 2 masson 染色
图片尺寸540x407
masson染色
图片尺寸640x480
求助皮肤马松染色
图片尺寸1023x738
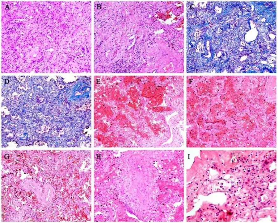
新冠肺炎sarsmers都有怎样的病理特征
图片尺寸900x723
a)治疗后4周,代表masson的三色染色心肌切片.
图片尺寸986x1138
【原创】病理学之特殊染色篇(部分)
图片尺寸2592x1728
求助皮肤马松染色
图片尺寸1062x650
masson染色
图片尺寸398x267
华西期刊社
图片尺寸3346x1693
【原创】病理学之特殊染色篇(部分)
图片尺寸1920x1440