马蹄肾儿童

医学科普马蹄肾
图片尺寸644x316
解析马蹄肾的超声表现
图片尺寸600x400
马蹄肾
图片尺寸1080x455
其次,马蹄肾也极易误诊为腹部肿瘤,阑尾炎,胰腺炎,十二指肠溃疡等
图片尺寸960x1280
马蹄肾或者说蹄铁形肾是怎么回事?
图片尺寸1548x1536
马蹄肾一例
图片尺寸835x576
分享典型马蹄肾一例
图片尺寸532x434
注意胎儿马蹄肾诊断中的误区
图片尺寸1080x810
如何治疗马蹄肾?
图片尺寸773x597
肾脏先天性发育异常之马蹄肾影像学表现
图片尺寸1599x999
" 马蹄肾"——说白了,就是两个肾长在了一起!
图片尺寸297x209
horseshoe kidney(马蹄肾)
图片尺寸1336x903
注意胎儿马蹄肾诊断中的误区
图片尺寸340x432
入职体检发现先天马蹄肾我还能再买到保险吗附真实成功投保案例
图片尺寸485x212
3周岁的孩子查出来有马蹄肾,经常腹痛,也不知道怎么办了,医生说估计没
图片尺寸576x1024
医生说的马蹄肾是什么病?严重吗?需要怎样治疗?一文给你讲解
图片尺寸640x853
解析马蹄肾的超声表现
图片尺寸452x494
注意胎儿马蹄肾诊断中的误区
图片尺寸1080x698
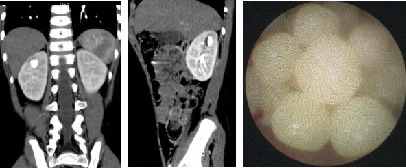
病例2:6岁男孩,马蹄肾,左肾盂及中下盏内结石,采用4.
图片尺寸592x246
马蹄形肾及其流行病学
图片尺寸284x297