马蹄肾ct图片

马蹄肾难得一见这些影像学检查手段马上识别
图片尺寸437x340
ct提示马蹄肾合并双肾结石左侧输尿管软镜碎石取石,右侧经皮肾镜碎石
图片尺寸3648x2736
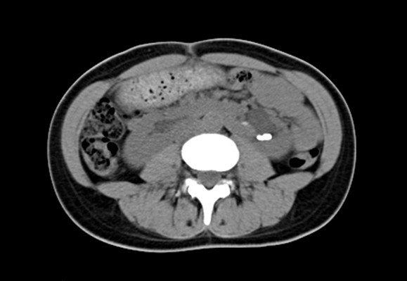
马蹄肾
图片尺寸1280x960
ct提示马蹄肾合并双肾结石
图片尺寸3648x2736
马蹄肾影像诊断图一览
图片尺寸380x380
862513 马蹄肾
图片尺寸600x636
很漂亮的马蹄肾,供大家看一看
图片尺寸1040x780
继续前行,再创佳绩———记陵水县医院外一科完成右肾巨大马蹄形柱状
图片尺寸1080x1440
马蹄肾影像表现详解
图片尺寸630x630
诊间日记马蹄肾
图片尺寸2465x2114
两例马蹄肾结石的经皮肾治疗
图片尺寸960x1280
典型病例欣赏-马蹄肾,等你分析 | 读片专栏1037期
图片尺寸522x678
马蹄肾.jpg
图片尺寸561x849
马蹄肾左肾多发结石——ems超声碎石清石术——天门市中医医院泌尿
图片尺寸4030x3022
重庆大坪医院 兰卫华 医生文章 文章详情 马蹄肾64排ct重建所见
图片尺寸400x266
双肾ct提示:左侧肾结石,马蹄肾并肾旋转不良.
图片尺寸1280x960
男子罕见马蹄肾 结石有如"玉如意" 医生:第一次见
图片尺寸640x358
马蹄肾
图片尺寸1280x960
ct显示先天性马蹄肾畸形,左肾多发结石病例四:2016年6月门诊患者:先天
图片尺寸579x399
典型病例5:马蹄肾合并左肾积水(左肾萎缩) - 好大夫在线
图片尺寸1600x900