驻牙

我才21岁牙齿严重老化驻掉想老人的牙齿一样怎么办还有救吗没得话我都
图片尺寸315x369
孩子满口黑牙就像50岁的"老烟枪"好吓人,妈妈知道为什么吗?该怎么办?
图片尺寸630x425
10个孩子7个烂牙被疯传的乳牙无用论到底坑害了多少孩子
图片尺寸1000x750
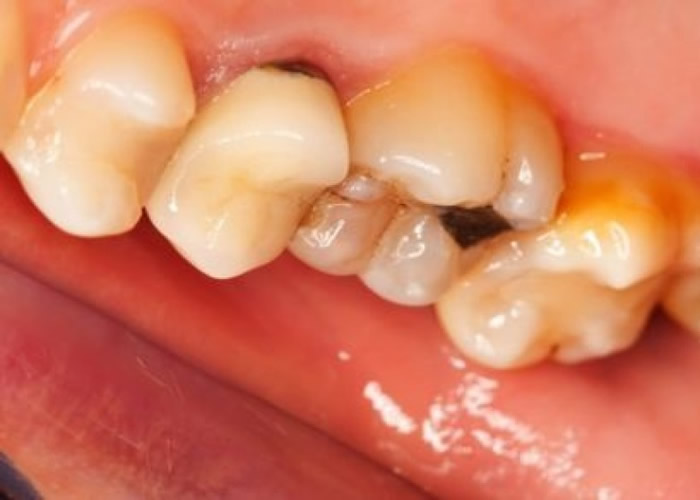
这个牙齿疼的厉害都驻空掉了怎么办补牙的话
图片尺寸450x800
20223810日梁光强老师走进民营快速开展种植牙宗言公司站
图片尺寸670x930
一嘴烂牙不敢去看牙医26岁十多颗坏牙改善经历
图片尺寸400x295
从小限制宝宝吃糖,才3岁却满口驻牙,宝妈:怪我!早知道该多好
图片尺寸800x820
画牙齿简笔画马克笔简笔画保护牙齿儿童画课件【爱护牙齿】驻牙牙齿简
图片尺寸943x800
牙膏还是含氟好,可不要因噎忘食
图片尺寸400x300
科学家研究指进餐时饮用酸性饮料牙齿严重腐蚀机会高11倍
图片尺寸700x500
牙驻用间隙刷会的驻的地方弄大吗
图片尺寸500x500
洗一次牙多少钱有牙结石不去除要紧吗
图片尺寸850x525
宝宝按时刷牙还有龋齿这件事没做好就等于白刷
图片尺寸1080x628
学做小小牙医,争当护牙小卫士——m1二六班护牙体验实践活动
图片尺寸800x600
窝沟封闭,最有效预防驻牙的方法之一 窝沟封闭就像是给牙齿穿上了保护
图片尺寸1000x1333
驻牙君
图片尺寸1280x1280
蛀牙严重怎么办
图片尺寸900x600
儿童画课件【爱护牙齿】驻牙牙齿简笔画爱护牙齿07创意美术儿童画
图片尺寸500x667
江苏南京规美牙培训学校
图片尺寸922x1280
妈妈对孩子的过度精心喂养,竟导致孩子牙齿坏掉!
图片尺寸517x690