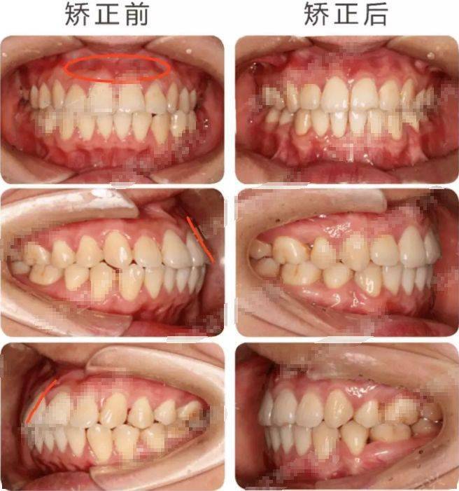
骨性和牙性的区别图

讲明白牙性/骨性扩弓的区别!
图片尺寸535x713
教一招自己在家测试.凸嘴是牙性还是骨性?是否 - 抖音
图片尺寸1080x1438
如何判断时骨性or牙性嘴凸71想变美别搞错75
图片尺寸690x920
如何判断时骨性or牙性嘴凸71想变美别搞错75
图片尺寸690x920
牙性嘴凸or骨性嘴凸723招教你判断
图片尺寸1080x1439
如何判断骨性嘴突还是牙性嘴突?
图片尺寸690x922
你的凸嘴是牙性还是骨性的?有什么区别?#凸嘴 #正颌 - 抖音
图片尺寸1000x1500
正畸不踩坑92轻松辨别牙性嘴凸与骨性嘴凸
图片尺寸1080x1439
如何判断自己嘴突是骨性or牙性?
图片尺寸1080x1437
牙性vs 骨性,你的变美潜力有多大?_龅牙_牙齿_程度
图片尺寸656x701
一图带你辨别你是骨性嘴凸还是牙性嘴凸
图片尺寸1080x1440
骨性or牙性,整牙之前先搞懂
图片尺寸1080x1439
判断骨性地包天和牙性地包天的方法图片59w.net
图片尺寸600x1425
如何判断时骨性or牙性嘴凸71想变美别搞错75
图片尺寸1080x1440
牙齿骨性一类二类三类的区别
图片尺寸1280x1706
嘴凸是牙性还是骨性71一招教你辨别60
图片尺寸900x1200
90的人都分不清嘴凸骨性or牙性
图片尺寸1080x1443
牙性嘴凸or骨性嘴凸723招教你判断
图片尺寸1080x1439
牙性畸形和骨性畸形有什区别?难道骨性的只能做正颌吗?
图片尺寸570x490
正畸必备知识牙性嘴突和骨性嘴突怎么区别
图片尺寸1080x1437