骨性嘴凸正畸

骨性双颌前突伴露龈微笑的单纯正畸治疗
图片尺寸1600x1198
正畸日记骨性嘴凸露龈个别牙缝稀疏26岁开始整牙已矫正2年零9个月
图片尺寸1496x1863
骨性嘴凸,牙齿矫正,上海口腔病防治院
图片尺寸1818x1818
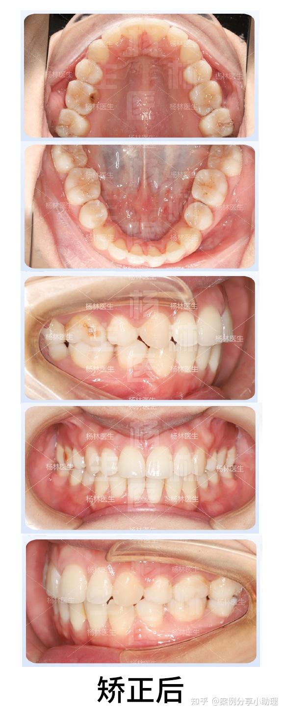
骨性Ⅲ类嘴突双颌前突矫正案例
图片尺寸1134x1506
跟网上判骨性嘴凸的资料 - 抖音
图片尺寸1439x1920
同样是骨性嘴凸没下巴,深覆合,低角型的案例,这次我们为什么设计
图片尺寸690x690
三年正畸Ⅰ轻度骨性凸嘴变化记录!
图片尺寸1284x1712
骨性嘴凸,牙齿矫正,上海口腔病防治院
图片尺寸2048x2048
严重骨性突,舌侧矫正效果更好哦
图片尺寸1918x1084
关于成年人牙齿矫正骨性凸嘴
图片尺寸1606x2560
关于成年人牙齿矫正骨性凸嘴
图片尺寸1826x4032
关于成年人牙齿矫正骨性凸嘴
图片尺寸2160x2880
粉丝投稿 地点:厦门 项目:正畸 时间:2020年1月 骨性嘴凸正畸记录
图片尺寸690x919
骨性嘴凸,牙齿矫正,上海口腔病防治院
图片尺寸2976x2976
【16岁女生嘴突矫正案例】_牙颌畸形 - 好大夫在线
图片尺寸2362x2362
来分享一下凸嘴女孩的牙齿矫正前后效果,庆幸自己的选择
图片尺寸400x400
骨性嘴凸带了一年五个月不后悔
图片尺寸570x759
正畸案例分享丨骨性Ⅱ类嘴巴前突矫正
图片尺寸581x1456
骨性凸嘴和齿性凸嘴区别对比,如何区分凸嘴是骨性还是牙性!
图片尺寸400x447
骨性上颌前突,下颌后缩-青少年矫正案例
图片尺寸2362x2362