骨性龅牙内收3mm效果图

我骨性龅牙内收7毫米前后对比图片正畸正颌后嘴型变化挺大
图片尺寸536x382
骨性iii类深覆合加严重漏牙龈笑加嘴突参考案例
图片尺寸720x960
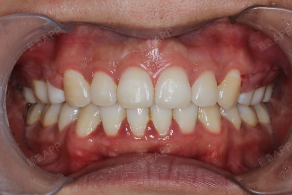
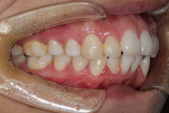
骨性龅牙嘴凸笑起来露牙龈下巴严重后缩
图片尺寸1129x1031
龅牙啊龅牙啊龅牙这个问题真的让我烦恼了很久大家都说我其实长得挺
图片尺寸570x380
骨性龅牙,传统矫正还是有用的,看了4家牙科,前3家都说没有效果,22岁
图片尺寸1080x845
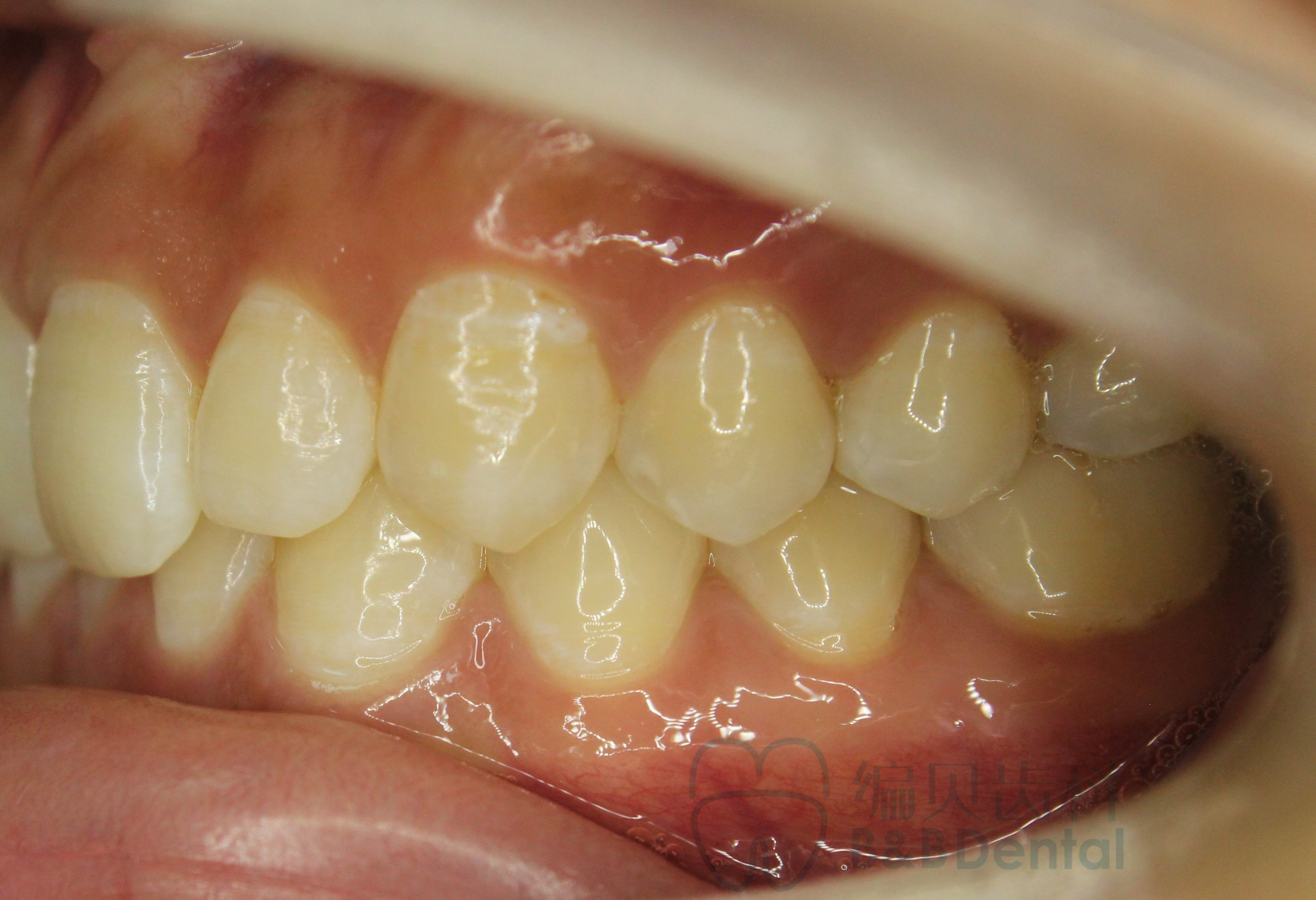
骨性双颌前突伴露龈微笑的单纯正畸治疗
图片尺寸1600x1198
龅牙|校花|牙齿_新浪女性_新浪网
图片尺寸800x645
牙套之家上面那么多骨性龅牙正畸成功的案例是不是大部分都是营销出来
图片尺寸563x667
骨性龅牙丨单纯戴牙套两年效果
图片尺寸1080x1438
深圳骨性龅牙妹矫正1年效果对比持续更新
图片尺寸1080x692
内倾型深覆合蜕变记
图片尺寸2417x1654
龅牙啊龅牙啊龅牙这个问题真的让我烦恼了很久大家都说我其实长得挺
图片尺寸570x380
骨性龅牙的看过来,只戴牙套3个月前后的效果惊人励志_圈子-新氧美容
图片尺寸570x760
骨性龅牙的看过来,只戴牙套3个月前后的效果惊人励志_圈子-新氧美容
图片尺寸570x760
【美然】骨性前突,高中时没拔牙矫正变成整齐的龅牙,还戴过微商的牙套
图片尺寸458x611
我是牙性骨性,我的牙医也跟我说效果只能达到70%,这是刚上牙套的样子
图片尺寸720x362
1596280507.png
图片尺寸2362x2362
简单点说,深覆盖就是我们俗称的龅牙,可分为 牙性与骨性龅牙.
图片尺寸640x359
骨性牙性龅牙开颌隐适美1年效果
图片尺寸570x910
骨性龅牙,不自信,异地矫正,2年的牙套时光,效果棒棒的
图片尺寸570x609