骨折线清晰和模糊图片

8岁孩子左尺骨远段骨折,轻微成角,骨折线模糊
图片尺寸900x1600
三周骨折线模糊了开心
图片尺寸1080x1423
胫骨开放性骨折小切口切开复位钢板外固定术.
图片尺寸1201x1601
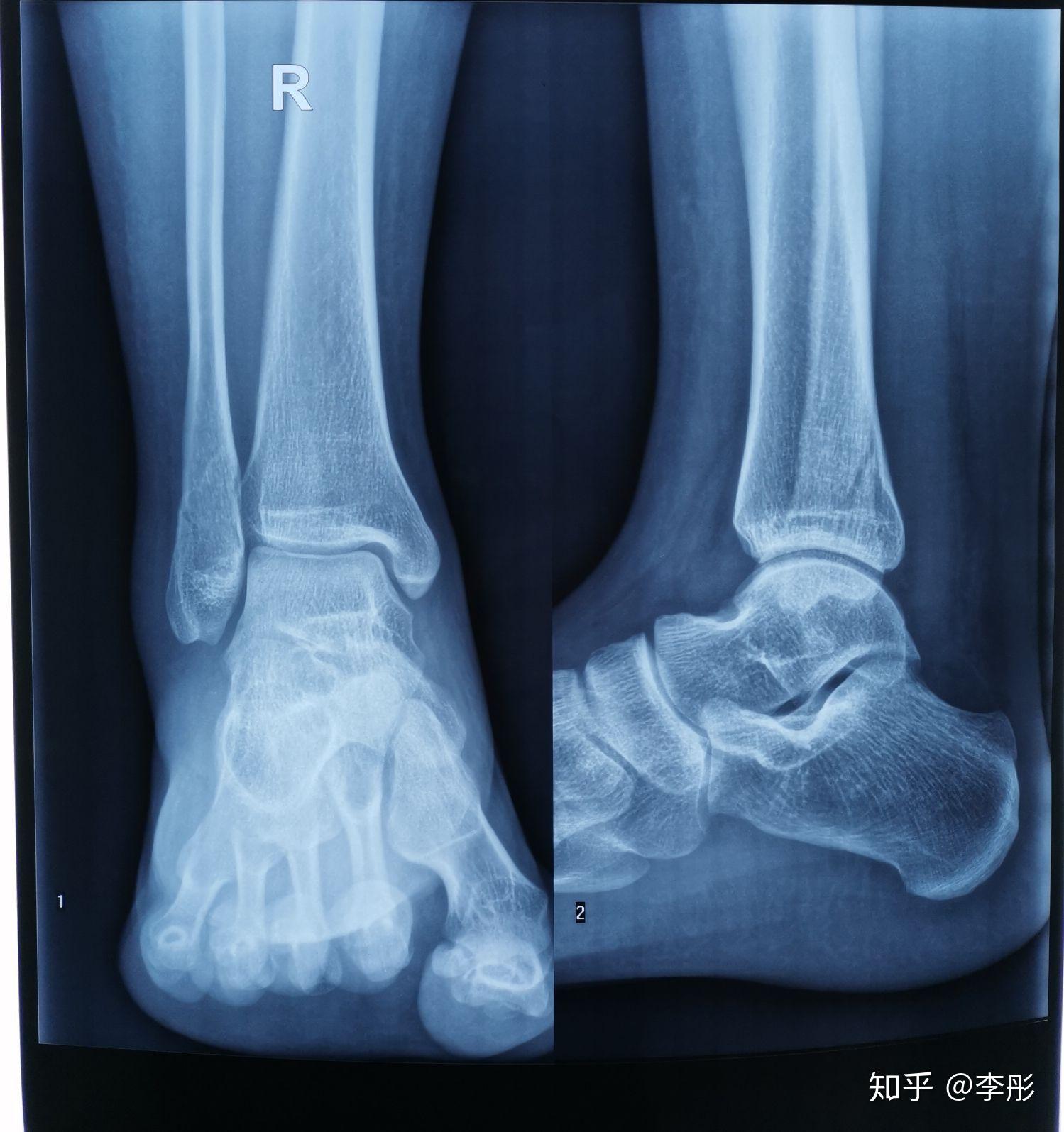
第五跖骨基底部骨折2个月,骨线仍然清晰 ,求助
图片尺寸1936x2592
这个骨折算严重吗
图片尺寸600x1298
术后3天下地部分负重行走,术后1月正侧位均显示骨折线已模糊
图片尺寸1200x1600
pillon骨折:创伤骨科最难治的骨折之一!惟有心灵手巧,方得水到渠成!
图片尺寸750x1335
小切口微创治疗胫骨下段骨折
图片尺寸1600x1307
求好的外科医生骨科医生看看我这片子,我的腰在弯久
图片尺寸768x1024
骨折32天,骨折线终于模糊了#骨折恢复记录 #骨科 #远离伤 - 抖音
图片尺寸1920x1440
过斑马线被压骨折
图片尺寸1080x1080
脚踝骨骨折恢复期俩月了卸掉石膏伸懒腰影响恢复吗
图片尺寸960x1280
问题:胫腓骨骨折
图片尺寸2448x3264
确实骨折线模糊了已经.
图片尺寸896x1920
创伤骨一科完成两例弹性髓内针治疗小儿长骨骨折手术,小儿骨科治疗
图片尺寸878x1475
胫腓骨骨折(ao c1)
图片尺寸340x340
骨折线明显能下地走路吗
图片尺寸1499x1595
这算是骨折线模糊嘛
图片尺寸1080x1132
部分骨折片
图片尺寸640x853
帮我看张片子,我在两个医院看的,一个医院说的大的脚趾头里面有骨折
图片尺寸592x1052