骨癌图片头骨

骨癌患者的头骨
图片尺寸640x640
头骨骨癌
图片尺寸700x932
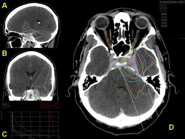
颅骨恶性肿瘤
图片尺寸500x355
骨癌 #医学科普 #医学生 #骨科 #骨癌 #科普一下 - 抖音
图片尺寸1080x1032
女子脑袋十年长出鸡蛋大骨瘤唐都医院神经外科赵天智主任妙手终全切
图片尺寸554x284
骨癌的骨头图片
图片尺寸750x500
颅骨肿瘤一例,看看靠近什么诊断?
图片尺寸2048x918
滚蛋吧,骨瘤君!——它,她,他的故事
图片尺寸912x907
颅骨骨瘤 硬
图片尺寸2000x2667
颅骨良性骨瘤日间手术记录
图片尺寸1479x1842
女子脑袋十年长出鸡蛋大骨瘤唐都医院神经外科赵天智主任妙手终全切
图片尺寸6966x4644![【讨论】已侵蚀颅骨的头枕部巨大肿瘤 [精华] [病例帖]](https://i.ecywang.com/upload/1/img1.baidu.com/it/u=3090003500,2822606083&fm=253&fmt=auto&app=138&f=JPEG?w=667&h=500)
【讨论】已侵蚀颅骨的头枕部巨大肿瘤 [精华] [病例帖]
图片尺寸1306x979
额骨骨瘤内镜切除技术---我的手术技术学习笔记系列
图片尺寸898x617
颅骨恶性肿瘤
图片尺寸600x450
颅骨良性肿瘤
图片尺寸600x450
患癌女童被癌细胞"吃掉头骨" | 微博 | 微公益-以微博之力让世界更美
图片尺寸600x382
颅骨多发骨髓瘤
图片尺寸1536x2048![【专题】关于颅骨肿瘤及肿瘤样变! [精华]](https://i.ecywang.com/upload/1/img2.baidu.com/it/u=199139215,1683073656&fm=253&fmt=auto&app=138&f=JPEG?w=335&h=372)
【专题】关于颅骨肿瘤及肿瘤样变! [精华]
图片尺寸335x372
【名医科普】发现宝贝头面部包块怎么办?
图片尺寸692x388
幼儿频繁呕吐半年体重轻5斤除了胃肠炎这种恶性疾病千万不能漏
图片尺寸575x588