骨穿病理

男,28岁 骨髓穿刺组织 - 华夏病理网论坛
图片尺寸1056x1024
骨髓坏死病例
图片尺寸4032x3024
骨穿2.jpg
图片尺寸640x359
男,28岁 骨髓穿刺组织 - 华夏病理网论坛
图片尺寸1078x1024
男,28岁 骨髓穿刺组织 - 华夏病理网论坛
图片尺寸1070x1024
男,25岁,骨穿活检 - 骨髓细胞学 - 中国病理学网 - powered by discuz
图片尺寸1362x738
骨髓穿刺组织 - 专科病理>>淋巴组织 - 华夏病理网
图片尺寸947x710
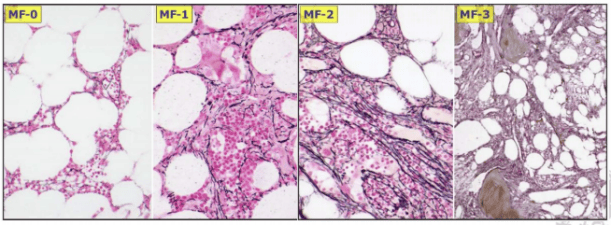
观察还是服药哪个治疗方案更适合大咖细谈制定mf治疗方案的必做检查
图片尺寸611x226
(求助)84岁老太太,浑身不明原因紫癜2月,骨穿病理片发现异常细胞(附
图片尺寸1392x1040
昨天收到的骨髓穿刺病理报告帮忙看看
图片尺寸750x1077
骨穿刺
图片尺寸1152x864
血液形态诊断"侦察兵"发现"多枚不明飞行物"
图片尺寸981x736
煅烧异种骨的生物相容性研究
图片尺寸2756x1797
咳嗽竟会导致骨折?原来是得了这个病
图片尺寸554x572
哪位大神帮忙看看腰穿病理报告请问是否已经侵犯骨髓了
图片尺寸540x720
骨髓的概念 骨髓 骨髓是存在于长骨 (如肱骨,股骨) 骨髓
图片尺寸960x720
全新现货型cart疗法暴击血液肿瘤客观缓解率可达100
图片尺寸1080x564
患者朋友的骨穿
图片尺寸640x480
医生再次在相同部位行骨髓穿刺及骨髓活检,并送检骨髓涂片,流式及病理
图片尺寸660x495
骨髓穿刺活检报告.帮我看看!
图片尺寸980x1307