骨窗片
![【读片】腰椎病变,请讨论,病理结果已公布 [病例帖]](https://i.ecywang.com/upload/1/img2.baidu.com/it/u=1418044021,2645350005&fm=253&fmt=auto&app=138&f=JPEG?w=500&h=500)
【读片】腰椎病变,请讨论,病理结果已公布 [病例帖]
图片尺寸500x500
清单式阅片,轻松搞定头颅 ct 漏诊
图片尺寸1080x1440
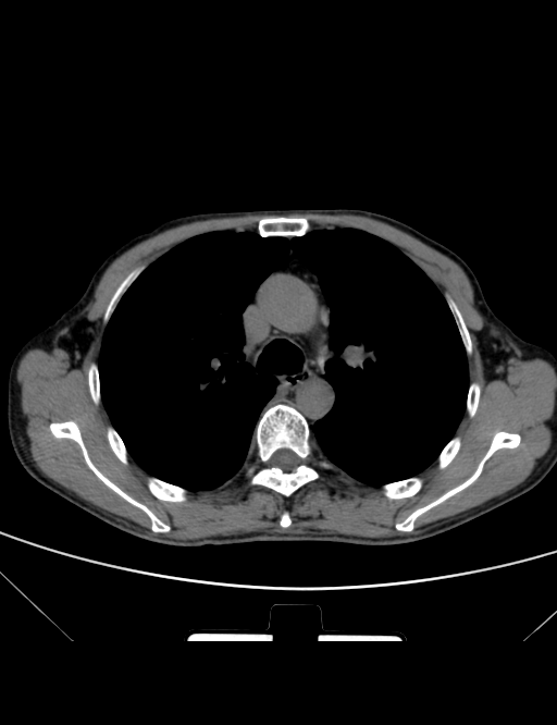
胸部骨窗ct断层,就该这么看!
图片尺寸600x939
术后ct骨窗片
图片尺寸1500x1000
胸部ct平扫图片金典
图片尺寸512x666
论坛
图片尺寸608x800![【读片】膝关节.x,ct(病理已公布) [病例帖]](https://i.ecywang.com/upload/1/img2.baidu.com/it/u=380799442,3226813241&fm=253&fmt=auto&app=138&f=JPEG?w=344&h=489)
【读片】膝关节.x,ct(病理已公布) [病例帖]
图片尺寸344x489
解剖,诊断与鉴别诊断知识重要,工作站阅片方法同样很重要.公布结果
图片尺寸740x760![【读片】单个椎体病变,患者已手术,病理结果已公布! [病例帖]](https://i.ecywang.com/upload/1/img2.baidu.com/it/u=791354362,354108757&fm=253&fmt=auto&app=138&f=JPEG?w=1000&h=500)
【读片】单个椎体病变,患者已手术,病理结果已公布! [病例帖]
图片尺寸1020x510
小骨窗治疗急性脑出血
图片尺寸2334x3120
如何将平扫片转换成冠状位片
图片尺寸1080x702
北汽绅宝d20专用汽车雨刮器无骨雨刷器雨刷片前窗胶条新老款配件
图片尺寸800x800
简明又详细的头部ct读片详解收藏
图片尺寸411x374![【读片】右踝关节病变,有结果,择日公布(病理结果已公布). [病例帖]](https://i.ecywang.com/upload/1/img1.baidu.com/it/u=2756272266,43275501&fm=253&fmt=auto&app=138&f=JPEG?w=200&h=499)
【读片】右踝关节病变,有结果,择日公布(病理结果已公布). [病例帖]
图片尺寸640x1598![【读片】后纵隔病变,资料全(x线,ct及mri),病理结果已公布. [病例帖]](https://i.ecywang.com/upload/1/img1.baidu.com/it/u=2277588802,3902633116&fm=253&fmt=auto&app=138&f=JPEG?w=600&h=400)
【读片】后纵隔病变,资料全(x线,ct及mri),病理结果已公布. [病例帖]
图片尺寸600x400
盆腔核磁共振(mri)读片基础
图片尺寸695x516
术后颅骨三维重建片术后骨窗片术后1天ct复查,止血减压良好,基底池
图片尺寸750x563![【读片】右踝关节病变,有结果,择日公布(病理结果已公布). [病例帖]](https://i.ecywang.com/upload/1/img1.baidu.com/it/u=3179559702,781082017&fm=253&fmt=auto&app=138&f=JPEG?w=500&h=1248)
【读片】右踝关节病变,有结果,择日公布(病理结果已公布). [病例帖]
图片尺寸640x1598![【读片】看似典型的病例,但仔细观察呢!病理以公布 [病例帖]](https://i.ecywang.com/upload/1/img2.baidu.com/it/u=1515522956,998614010&fm=253&fmt=auto&app=138&f=JPEG?w=801&h=500)
【读片】看似典型的病例,但仔细观察呢!病理以公布 [病例帖]
图片尺寸1134x708
骨窗片患者急症全麻下行右颞枕部幕上幕下骨窗开颅硬膜外血肿清除术
图片尺寸750x563