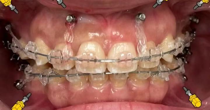
骨钉 矫正

牙齿矫正打骨钉到底疼不疼?_口腔_成都_瑞泰
图片尺寸961x499
打骨钉疼吗?你看疼不疼
图片尺寸442x331
牙齿正畸打支抗钉(骨钉)的作用是什么?什么情况适合做? - 知乎
图片尺寸1140x1523
✨正畸骨钉全解析,一次就懂!
图片尺寸1242x1660
10秒看懂矫正是怎么打骨钉的
图片尺寸1080x1920
北京牙齿矫正:牙齿矫正打骨钉,感觉如此酸爽!
图片尺寸1920x1080![[星星]在正畸中,有些牙齿问题需要通过打骨钉](https://i.ecywang.com/upload/1/img0.baidu.com/it/u=2047920708,2580656615&fm=253&fmt=auto&app=120&f=JPEG?w=1067&h=800)
[星星]在正畸中,有些牙齿问题需要通过打骨钉
图片尺寸1707x1280
牙齿矫正打骨钉全过程揭秘
图片尺寸660x880
正畸哪些情况会使用骨钉?#深覆颌 #牙齿矫正 #正畸矫正 - 抖音
图片尺寸1242x1660
牙齿矫正,打支抗钉(骨钉)是一种怎样的体验(下)?
图片尺寸720x378
矫正牙齿必须打骨钉!这6种情况你有吗? - 知乎
图片尺寸2448x3264
牙齿矫正打骨钉
图片尺寸1080x1440
牙齿矫正 打骨钉
图片尺寸1080x675
打骨钉可能是你矫正过程中会遇到的一个步骤.
图片尺寸1080x1410
"骨钉"怎么拿下来?#牙齿矫正 #牙齿正畸 #牙套
图片尺寸1440x1080
在矫正过程中,想要达到最佳治疗效果,必须精确控制牙齿移动.
图片尺寸1928x1280
骨钉有什么作用?所有矫正都需要打骨钉吗?
图片尺寸1080x1440
牙齿矫正必看!
图片尺寸785x451
被问了n遍!正畸打骨钉到底哪些情况不合适?
图片尺寸2560x1440
阅读数:6 稍微了解过矫正的人肯定都知道种植支抗钉这个东西
图片尺寸1920x1080