骨骺炎

胫骨结节骨骺炎 (3)_有来医生
图片尺寸400x533
胫骨结节骨骺炎 (6)
图片尺寸400x455
儿童骨骺炎
图片尺寸3456x3456
成长的烦恼胫骨结节骨骺炎
图片尺寸406x411
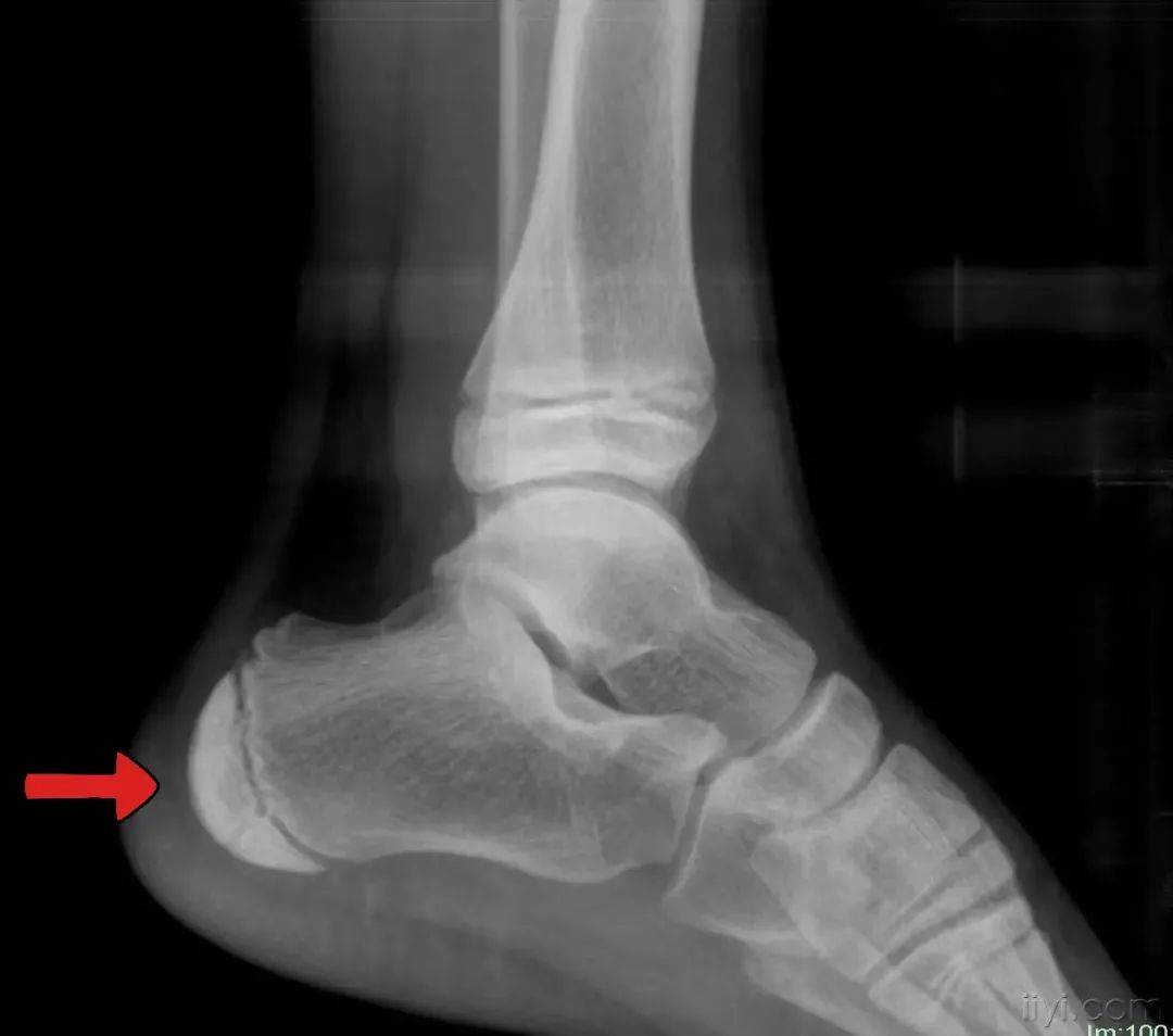
孩子脚后跟疼痛跟骨骨骺炎
图片尺寸1080x954
胫骨结节骨骺炎一一快速康复
图片尺寸1200x1600
胫骨结节骨骺炎 (16)_有来医生
图片尺寸476x400
右腿膝盖下长了个块影不影响当兵的体检啊好像是什么胫骨结节骨骺炎
图片尺寸1080x810
上方疼痛一般为股四头肌腱损伤,下方疼痛为胫骨结节骨骺炎,两侧疼痛则
图片尺寸657x692
右腿膝盖下长了个块,影不影响当兵的体检啊,好像是什么胫骨结节骨骺炎
图片尺寸1080x810
治疗胫骨结节骨骺炎osgoodschlatter病
图片尺寸1128x874
胫骨结节骨骺炎osgood-schlatter disease
图片尺寸503x630
胫骨结节骨骺炎 (3)_有来医生
图片尺寸400x533
成长的烦恼胫骨结节骨骺炎
图片尺寸864x887
97髌骨 韧带受伤 骨骺炎 膝盖问题
图片尺寸1080x1122
胫骨结节骨骺炎
图片尺寸1440x1080
跳绳不当引发关注媛媛和亮亮患上的骨骺炎,虽然发病位置不一样,但都是
图片尺寸1500x965
【医疗技术】罕见!一名青少年胫骨近端骨骺损伤,骨一科团队这样处理
图片尺寸898x1276
正确认识青少年胫骨结节骨骺炎doc5页
图片尺寸792x1120
13岁,得了胫骨结节骨骺炎,医生说六年没办法进行高强度运动(如50米
图片尺寸1242x2208