骨骼发育

被误诊的儿童骨骼发育异常
图片尺寸640x484
幼儿骨骼发育的注意事项如何促进幼儿骨骼的发育
图片尺寸500x359
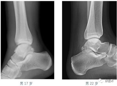
常见的几种骨骼发育异常,容易误诊为骨折,这要特注意!
图片尺寸410x300
儿童骨骼先天发育不良,o型腿严重,胫骨高位截骨来拯救!
图片尺寸643x357
骨骼发育
图片尺寸500x432
也就是说人体的身高基本取决于骨骼的生长发育
图片尺寸600x600
宝宝骨骼发育"黄金期",父母做好这4点,可助宝宝一臂之力!
图片尺寸640x328
韩国直邮gnm kids儿童钙镁锌维生素d锰宝宝骨骼发育咀嚼片180粒
图片尺寸800x800
不利宝宝骨骼发育的8个坏习惯,你都知道吗?
图片尺寸567x371
在这万物生长的季节骨骼发育让宝宝春季长得高
图片尺寸500x750
患有窒息性胸腔失养症的时候,有骨骼发育不良的现象,要急早治疗
图片尺寸866x1224
钙是生命之源! 钙不只有助于骨骼的发育和坚韧,还有生育,神经 - 抖音
图片尺寸1080x1672
影响宝宝骨骼发育的4个坏习惯,一直以为第4个是对的!家长多注意
图片尺寸371x337
头部骨骼生长发育过程#图文种草机 #健身小白必看经验 #干货 - 抖音
图片尺寸1918x1168
婴儿佝偻病睡姿图片,警惕骨骼发育的4种情况(平躺睡觉)
图片尺寸551x432
bl-11乳高益生菌 鼠李糖乳杆菌gg赛哺高青少年儿童初高中骨骼发育
图片尺寸1250x1250
补钙指南.宝宝骨骼发育从孕7周 - 抖音
图片尺寸963x1294
了解宝宝骨骼发育的秘密
图片尺寸470x290
早期干预矫正更多的关注骨骼的发育,尽 - 抖音
图片尺寸1280x1706
人体骨骼发育学
图片尺寸800x800