骺软骨骨化

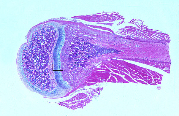
骨骺与骨干之间有一层软骨层,医学上称之为骺软骨 ( 骨骺线).
图片尺寸640x737
骺软骨
图片尺寸328x630
相比于同龄人,性早熟孩子的骨骼会进入快速增长阶段,因此,他们的骨骺
图片尺寸1080x1304
北京京和堂中医医院汪梅霞:如何判断孩子骨骺线是否闭合?
图片尺寸331x334
不想孩子长得矮,3类运动要远离,建议16岁前的孩子最好不要碰
图片尺寸1080x734
而是随着年龄增长,这块软骨会逐渐骨化,当它完全骨化之后,长骨就没有
图片尺寸640x655
成年后骺软骨骨化,原骺软骨处形成一线状痕迹,称为骺线.
图片尺寸486x391
一种我们叫软骨生长,长骨的末端有一个软骨板,也叫骨骺板
图片尺寸1292x640
人体长高,依靠的是骨骺线,在骨骺与干骺端之间有一块软骨,软骨与骨垢
图片尺寸539x287
踝关节骺软骨x线图
图片尺寸750x500
随着年龄的增长,这层骺软骨会逐渐消失,最终 完全骨化,骨骺线也
图片尺寸650x359
骺软骨
图片尺寸603x391
data-lemmaid="3240346">软骨 /a>中出现的骨化点
图片尺寸1788x1472
在未成年之前,骨两侧连接处为骺软骨,骺软骨在少年时期增生,骨化.
图片尺寸640x452
6岁,骨骺已部分融合,患儿男童,12岁10个月,目前身高148cm,约两年前
图片尺寸1080x1125
骨骺与骨龄的关系
图片尺寸764x851
人体骨骺和干骺端之间的软骨,这个用于生长的软骨,往往就要不停地骨化
图片尺寸640x278
儿童骨骺损伤骨折分型
图片尺寸966x693
专业课件 五,骨的生长发育 骨的变长:骺软骨的骨化.
图片尺寸1080x810
小儿的干骺端生长最活跃,在这里可以看到软骨内化骨的过程.
图片尺寸555x401