髂骨炎

双侧髂骨致密性骨炎有没有好的办法治疗?
图片尺寸1080x1320
大家想,这个生孩子,骨盆要扩张,这个骶髂关节就受到挤压,有些人这个骶
图片尺寸599x385
轻氏| 女性慢性腰痛 谨防致密性髂骨炎
图片尺寸640x532
产后双侧致密性髂骨炎的症状
图片尺寸1280x1707
产后致密性髂骨炎
图片尺寸1080x1439
认识:单侧髂骨致密性骨炎_关节_诊断_女性
图片尺寸1080x804
骶髂关节致密性骨炎的诊断标准,如何鉴别各类关节炎疾病
图片尺寸600x450
致密性髂骨炎
图片尺寸437x540
第737期听医生科普骶髂关节炎
图片尺寸326x240
骶髂关节炎词条图册_百度百科
图片尺寸317x249
髂骨致密性骨炎,在德国也被称为髂骨浓缩性骨病 或髂骨三角性骨增,其
图片尺寸1080x1439
骶髂关节致密性骨炎.pdf
图片尺寸792x1120
二:骶髂关节炎到底是什么
图片尺寸898x1305
骶髂关节炎骶髂关节炎是什么原因造成的
图片尺寸1280x820
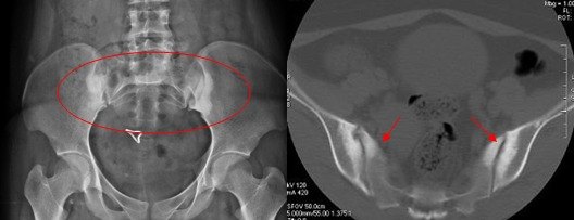
如何在ct上区分骶髂关节退变强直致密性髂骨炎
图片尺寸640x475
髂骨致密性骨炎 (osteitis condensans ilii)
图片尺寸878x706
骶髂关节是人体轴位最大的关节,是脊柱和下肢联系的枢纽,具有稳定性
图片尺寸600x520
图:骶髂关节炎 x 线下表现呼吸系统表现最常见的呼吸系统表现多见为
图片尺寸605x349
致密性髂骨炎
图片尺寸500x280
说说骶髂关节的那些事下腰痛的另外一些原因
图片尺寸528x203