髋关节滑膜嵌顿

三氧注射治疗儿童髋关节滑膜嵌顿症25例
图片尺寸800x601
诊断:类风湿性关节炎. 与下面的图,长的很象.下图来自: http://www.
图片尺寸684x435
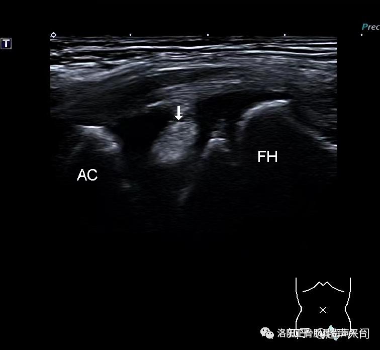
易误诊为暂时性滑膜炎的儿童髋关节滑膜嵌顿症
图片尺寸1469x2089
髋关节滑囊炎的症状表现是什么? - 知乎
图片尺寸640x640
髋关节滑膜炎的症状相关资讯 - 科技工作者之家
图片尺寸889x379
病例分享小儿髋关节滑膜嵌顿症
图片尺寸521x525
病例分享小儿髋关节滑膜嵌顿症
图片尺寸756x696
髋关节滑膜炎
图片尺寸640x480
或者髂胫束综合征,以及髋关节本身的问题甚至腰椎问题诱发的髋部症状
图片尺寸991x532
右髋关节少量积液怎么治疗(髋关节滑膜炎消消积液就行了)
图片尺寸1618x1056
髋关节一过性滑膜炎是常见的,短暂的髋关节炎症性疾病,危害较大
图片尺寸1114x740
这是髋关节一过性滑膜炎?
图片尺寸852x1136
股骨颈区这一环形病灶,终于知道是啥啦
图片尺寸605x630
髋关节滑膜炎什么情况下必须手术治疗? - 微医(挂号网)
图片尺寸594x503
关节镜下滑膜疝切除后.jpg
图片尺寸886x1065
又被称为腰椎小关节综合征,腰椎小关节紊乱,椎间滑膜嵌顿等,占慢性
图片尺寸756x629
什么是髋关节滑膜炎怎么治疗髋关节滑膜炎
图片尺寸641x344
典型案例健身小伙腹股沟痛到无法行走髋关节镜下白骨精被降服
图片尺寸250x273
病理情况下原因更多,比如臀筋膜挛缩,髋关节发育异常,髋关节滑膜炎,髋
图片尺寸692x846
滑膜坎顿:急性腰扭伤,手法治疗快.
图片尺寸2666x2000