髋关节超声

2019年超声arthrosc tech杂志:超声引导下的髋关节注射———北大人民
图片尺寸1248x892
超声医 写美篇医生发现腿纹的异常,提出让检查是为了排除婴儿髋关节
图片尺寸768x576
彩超测量小儿髋关节角度测量及意义
图片尺寸2618x1963
超声微课堂小儿髋关节疾病的超声诊断
图片尺寸1080x810
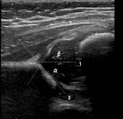
mr 45°; 5.髋关节脱位α 45°,β无法测量,mr无法测量.
图片尺寸2382x1858
婴儿发育性髋关节脱位之超声检查(一)_检查 - 好大夫在线
图片尺寸612x366
超声检查的优势:◆有效,无创,无辐射,可重复检查;◆可以观察关节软骨
图片尺寸600x260
超声微课堂小儿髋关节疾病的超声诊断
图片尺寸1080x810
盆底诊疗中心之盆底超声 妇产科在线
图片尺寸1069x536
髋关节超声检查对临床治疗的指导意义……天津市妇女儿童保健中心 王
图片尺寸1198x1598
髋关节超声检查对临床治疗的指导意义……天津市妇女儿童保健中心 王
图片尺寸1214x1199
髋关节疼痛求帮助
图片尺寸1992x2346
髋部超声检查
图片尺寸560x448
如何来诊断孩子是否患有髋关节滑膜炎呢?
图片尺寸1080x1440
【超声小儿髋关节】小儿髋关节超声分型,解剖结构,标准切面打法.
图片尺寸1024x512
你家宝宝做了婴幼儿髋关节超声检查吗
图片尺寸412x397
婴幼儿髋关节发育不良儿科医师如何解读超声检查
图片尺寸358x339
的第一步保驾护航——县妇幼保健院开展先天性髋关节发育不良超声筛查
图片尺寸800x800
发育性髋关节发育不良(ddh)超声诊断基础
图片尺寸1080x608
戏曲剧本名高频超声在小儿髋关节滑膜炎诊疗中的运用
图片尺寸1036x1055