髓鞘光镜图片

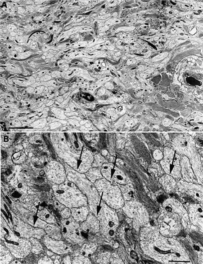
图a,电子显微照片显示多发性硬化症患者神经根慢性脱髓鞘(比例尺10μm
图片尺寸707x916
大脑瘤样脱髓鞘病变一例---浙二神外周刊(第169期)
图片尺寸553x209
神经组织学经验-3 多发性硬化等神经脱髓鞘病变的组织学染色方法
图片尺寸2000x1602
左旋咪唑所致炎性脱髓鞘性白质脑病一例
图片尺寸680x480
髓鞘染色液变色酸2r法
图片尺寸850x850
血管炎|神经病|活检|病理|脱髓鞘_网易订阅
图片尺寸660x309
再生的轴突开始髓鞘化臂丛损伤的患者常经过段时间后可恢复部分神经
图片尺寸704x1019
图23 有髓神经纤维束横切面光镜图 (1轴突 2髓鞘 3施万细胞核 4神经束
图片尺寸1080x810
快速掌握一种染色实验方法——lfb髓鞘染色法!
图片尺寸1080x810
mag学名髓鞘相关糖蛋白(myelin associated glycoprotein),是髓鞘的次
图片尺寸387x244
后10周不同组别组织学染色图片及透射电镜图片,用于观察髓鞘再生情况
图片尺寸945x1188
【病例分享】颅内瘤样脱髓鞘病变一例(神经肿瘤系列七)---浙二神外
图片尺寸901x448
胎儿脊髓前角运动神经元
图片尺寸1783x1291
神经是许多神经纤维组成的神经纤维是轴突和长树突以及外边包裹的髓鞘
图片尺寸1536x2048
华西期刊社
图片尺寸1589x791
常见脱髓鞘疾病的神经病理学
图片尺寸2666x1999
锇酸 osmic acid 染色周围神经横切面(对于髓鞘和神经外膜显色较好)
图片尺寸529x725
施万细胞沿着轴突一个接一个地连接成连续的鞘,但不形成髓鞘,故无郎氏
图片尺寸332x248
14 张科学图片证明大脑比天空还广阔
图片尺寸990x594
脱髓鞘病变的影像表现你了解多少
图片尺寸610x234