高钠血症

高钠血症
图片尺寸800x954
高钠血症
图片尺寸220x165
刘冰教授:crrt在重度高钠血症的临床应用
图片尺寸720x540
一个词语总结高钠血症常见原因model
图片尺寸440x542
相关的电解质异常包括低钠血症,低钾血症和高钾血症,高钠血症很少发生
图片尺寸1080x1673
(一),低容量性高钠血症:特点失水> 失钠 ,血清na无忧文档 所有分类
图片尺寸1080x810
认识神经重症中的高钠血症
图片尺寸535x437
内分泌时间,对于尿钾的界限不一样 参考资料:心血管时间微信公众号,内
图片尺寸3032x1872
ppt高钠血症
图片尺寸960x720
医药卫生 临床医学 常用生化指标的临床意义ppt 低钠血症 高钠血症
图片尺寸1080x810
高钠血症的诊治思路ppt
图片尺寸800x600
高钠血症诊断与治疗ppt参考课件
图片尺寸800x600
ppt高钠血症
图片尺寸960x720
内环境紊乱高钠血症
图片尺寸786x1048
ppt高钠血症
图片尺寸960x720
ppt高钠血症
图片尺寸960x720
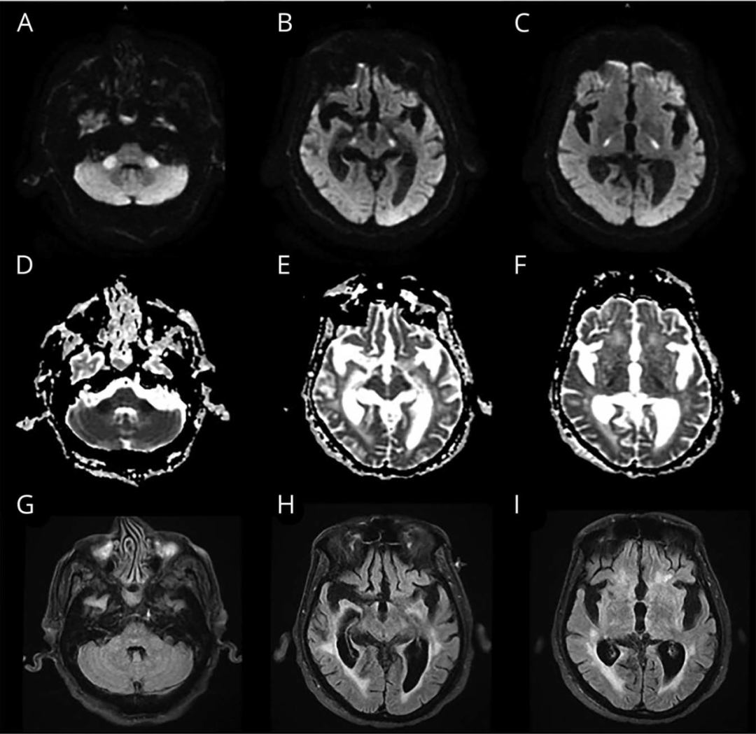
neurology:高钠血症患者的桥外渗透性脱髓鞘1例
图片尺寸1080x1049
【病例分享】张海涛:一例冠心病-心源性休克合并高钠血症病例汇报
图片尺寸940x521
低钠血症治疗思路高钠血症指的是血钠>145mmol/l,可以引起中枢神经
图片尺寸802x440
代谢性碱中毒及高钠血症是置换液或透析液中碱基及
图片尺寸1080x810