鲍温病

误诊30余年的鲍温病
图片尺寸1280x960
鲍温病
图片尺寸1956x2105
和我们一起了解一下什么是鲍温病
图片尺寸500x332
鲍温病的诊断及治疗ppt学习教案_第5页
图片尺寸920x690
疮疡及周围血管外科完成一例巨大鲍温病肿物切除/游离皮片修复手术
图片尺寸2500x1875
有认为属于癌前期病变,因为有发生鳞癌,鲍温病,基癌的报道.
图片尺寸2572x1895
鲍温病 2.传染性红斑 3.传染性软疣
图片尺寸600x450
原创人老了各种皮肤问题都来了,那就春节回家关心一下父母吧
图片尺寸745x862
鲍恩病对患者身体会造成很大的损伤,患者全身各部位都会出现红斑
图片尺寸650x507
图5,猫鳞状细胞原位癌,也叫鲍温病(bowen disease)
图片尺寸640x465
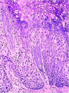
鲍温病(附有病理)
图片尺寸1024x768
什么是鲍温病该怎么治疗
图片尺寸4019x2754
误诊为湿疹的鲍温病1例
图片尺寸750x306
鲍温病(附有病理)
图片尺寸1024x768
阴囊鲍温病2例报告并文献复习论文答案
图片尺寸1468x2097
鲍温病
图片尺寸224x300
皮肤病及病理学习鲍温病
图片尺寸1798x1124
症状鲍温病是一种常见的原位皮肤鳞状细胞癌,可侵袭黏膜和皮肤,发生于
图片尺寸890x500
鲍温病(附有病理)
图片尺寸1024x768
鲍温病的临床特征
图片尺寸600x839