鳞屑菌丝阳性

67一位体癣患者,在其皮疹部位刮片,镜检下看到的大量菌丝.
图片尺寸437x496
真菌镜检阳性,找到真菌菌丝.
图片尺寸3000x4000
大夫一看说去做个真菌化验(180元),毫无悬念,菌丝阳性,给开了两支盐酸
图片尺寸2048x1536
治疗_防治所_鳞屑
图片尺寸753x1004
疥虫06毛囊虫05糠秕孢子菌04菌丝孢子03菌丝02菌丝01取皮屑,荧光
图片尺寸750x544
671,我们可以看到霉菌这一项 如果后面结果是阳性或者 有 那说明
图片尺寸357x300
股癣当成了湿疹瞎抹药,没治好又传染到脖子上还特别痒
图片尺寸641x582
低倍镜下真菌孢子及菌丝显微镜图像还是按照流程来,显微镜取下疑似
图片尺寸538x433
▽形态特征疑似放线菌长丝状似缠绕毛线团的菌丝团标本染色涂片镜检是
图片尺寸552x600
怀疑灰指甲,刮取指或趾甲的甲角质,在显微镜下观察,发现菌丝即可确诊
图片尺寸1280x1280
尿干化学检测显示尿酮体一个加号,其他无异常,镜检发现菌丝阳性.
图片尺寸500x503
59岁阿姨不小心被稻草划伤了右眼,没想到这么严重
图片尺寸720x958
皮肤镜|显微镜|毛囊|鳞屑|色素|-健康界
图片尺寸1080x810
阳性结果显示
图片尺寸600x375
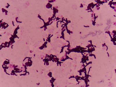
革兰氏阳性菌图片
图片尺寸398x300
查找真菌未果的情况下,却在镜下发现有成团的革兰氏阳性杆菌(图一),它
图片尺寸600x579
念珠菌性阴道炎的菌丝和孢子
图片尺寸500x339
并可见菌丝退化后残留的气泡;白癣的鳞屑内可见分支分隔菌丝,病发外见
图片尺寸293x435
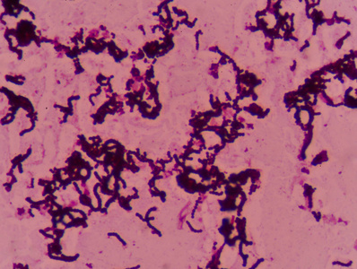
革兰氏阳性菌图片
图片尺寸398x300
白癣毛发荧光染色后可见明显的真菌菌丝.
图片尺寸1080x608