鸠尾固位形

鸠尾固位的制备
图片尺寸925x325
几种嵌体修复的牙体预备及临床病例
图片尺寸600x362
窝洞制备
图片尺寸1080x810
各类嵌体牙体预备的要求可加用颌面鸠尾固位形(鸠尾颊部宽度不大于
图片尺寸418x196
嵌体预备
图片尺寸2667x2000
用于防止充填材料向咬合面方向脱位此形态为鸠尾固位,是防止充填材料
图片尺寸1000x493
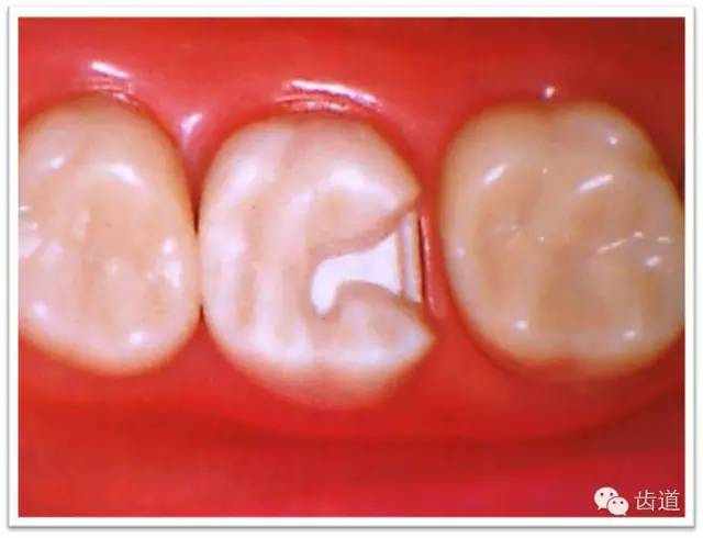
二类洞请各位老师来指点0505
图片尺寸1080x1439
a.mod三面嵌体牙体预备后牙合面形态;b.
图片尺寸1159x388
鸠尾
图片尺寸268x348
61龈斜面修整:龈壁外侧形成一个60o的斜面61牙合斜面预备:沿洞
图片尺寸269x335
8,制备鸠尾固位型
图片尺寸620x411
各类洞形的制备要点
图片尺寸602x457
鸠尾固位(dovetail)是用于复面洞的一种固位形,形似鸠的尾部,由鸠尾峡
图片尺寸762x525
邻面部分:箱状固位型,片切洞型,61龈斜面修整:龈壁外侧形成一个60o
图片尺寸271x361
(10)可加用颌面鸠尾固位形(鸠尾颊部宽度不大于颌面1/2),或轴壁上加钉
图片尺寸560x504
鸽形目·鸽鸠科·髻鸠属:髻鸠
图片尺寸658x987
几种嵌体修复的牙体预备及临床病例
图片尺寸291x300
每日一穴【61尾鸠69穴】 67鸠尾,经穴名.出自《素问.
图片尺寸298x398
鸠尾固位形钉洞固位形沟固位形箱型固位形桩固位形(增加固位形和抗力
图片尺寸640x490
几种嵌体修复的牙体预备及临床病例
图片尺寸355x329