鹅颈畸形矫正器

鹅颈畸形手指矫正关节粗大矫正器支具护套拇指受伤固定器儿童纠正
图片尺寸800x800
鹅颈畸形手指矫正关节粗大矫正器支具护套拇指受伤固定器儿童纠正
图片尺寸800x800
问一下,戴上这同款的矫正器头晕,是正常吗,磨下嘴唇
图片尺寸1440x1608
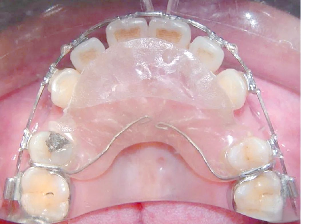
4岁反颌矫正
图片尺寸1280x1706
正畸活动矫治器相关的多种图谱与信息
图片尺寸1080x780
正畸活动矫治器相关的多种图谱与信息
图片尺寸1080x782
「正中脊·颈腰椎矫正·运动康复·体态矫正中心
图片尺寸2048x2731
替牙期儿童下颌后缩能用的矫治器 frankel Ⅱ型矫治器 妃她正畸
图片尺寸1080x1440
🦷认识这款矫正器吗?
图片尺寸1336x1669
—反颌颌垫推簧矫治器❗️
图片尺寸1706x1280
在任何年龄段,只要有矫正需求,都可以考虑进行牙齿矫正
图片尺寸1707x1280
常见手足畸形系列之一🌹 #手足畸形 #鹅颈畸形
图片尺寸360x640
牙齿矫正到一半换城市,3 次复诊跑断腿?
图片尺寸1080x910
可调节颈托肩颈脖子前倾矫正神器防低头办公室护颈改善颈椎部支架
图片尺寸2064x4608
矫治器
图片尺寸1280x1707
手部鹅颈畸形,成功矫正为患儿带来新希望
图片尺寸1080x1330
正畸活动矫治器相关的多种图谱与信息
图片尺寸1080x782
早期矫治对小孩口腔健康有哪些好处
图片尺寸5184x3456
目前常用的反颌矫治器有几种?骨性反颌用前方牵引器效果如何?
图片尺寸533x500
ii类错𬌗畸形就是家长们口中说的小下巴
图片尺寸1920x1920