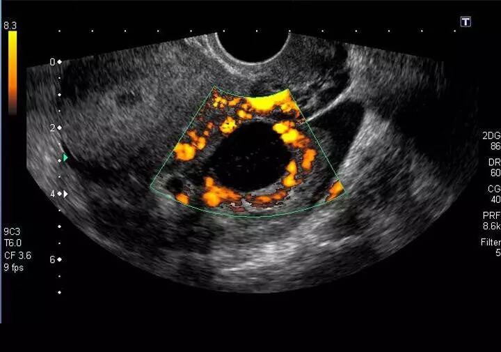
黄体囊肿b超图像

黄体卵巢囊肿
图片尺寸720x505
p>妊娠黄体( corpus luteum of pregnancy)是指存在于妊娠动物 a
图片尺寸640x480
黄体囊肿
图片尺寸220x150
16岁女孩破裂出血性黄体囊肿,图片来源:radiopaedia如果真的非常不幸
图片尺寸446x357
还对住院手术提心吊胆快速康复了解一下
图片尺寸2048x1086
牛育种过程中牛b超测孕仪的应用_检查_子宫_诊断
图片尺寸2093x805
赖床憋尿23岁的她黄体破裂真的是这样
图片尺寸640x387
黄体正常在2厘米以下,变大了就是黄体囊肿!-健康视频-搜狐视频
图片尺寸1280x718
赖床憋尿23岁的她黄体破裂真的是这样
图片尺寸450x265
憋尿可能是引发该女子黄体破裂的一个诱因,她体内的黄体囊肿才是引爆
图片尺寸640x389
长沙一女子月经前跑步致黄体囊肿出血失血量达全身一半
图片尺寸1080x608
【这里是湖北】"铁娘子"的"援非初体验"!
图片尺寸947x401