黏膜相关淋巴组织

淋巴结的正常组织学
图片尺寸679x500
黏膜相关淋巴样组织(malt)指在呼吸道,消化道,泌尿生殖道的粘膜剐有
图片尺寸835x541
适应性免疫系统ppt
图片尺寸1080x810
位于肠道部分的这个结构就叫肠道黏膜相关淋巴组织.
图片尺寸640x457
试述淋巴结脾肠粘膜相关淋巴组织的结构特点以及与其功能的关系
图片尺寸2048x1630
关于淋巴结
图片尺寸742x367
黏膜免疫系统的主要组成部分是一类叫"黏膜相关淋巴组织"的结构,这种
图片尺寸640x360
肠黏膜免疫系统的组成68686868(3)支气管相关淋巴组织
图片尺寸1047x606
求教:胃粘膜的淋巴组织
图片尺寸965x724
位于肠道部分的这个结构就叫肠道黏膜相关淋巴组织.
图片尺寸640x279
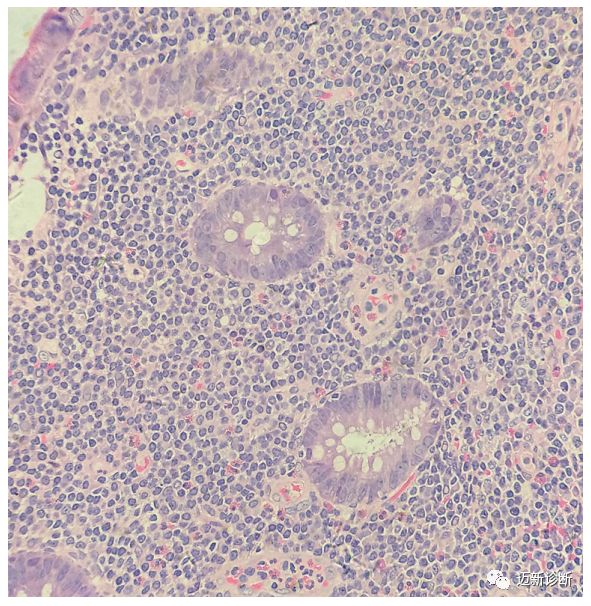
图23 黏膜相关淋巴组织(malt)淋巴瘤单核细胞增殖
图片尺寸620x620
医学课件 淋巴系统局部解剖ppt
图片尺寸1080x810
位于肠道部分的这个结构就叫肠道黏膜相关淋巴组织.
图片尺寸640x322
胃黏膜相关淋巴组织淋巴瘤与幽门螺杆菌ppt课件
图片尺寸920x518
8例肠黏膜相关淋巴组织淋巴瘤的临床病理特征
图片尺寸591x606
华中农大近期科学研究进展
图片尺寸800x580
髓索(medullary cord)是相互连接的索状淋巴组织,索内含b细胞及一些t
图片尺寸406x301
淋巴组织
图片尺寸268x235
原发性中枢神经系统黏膜相关淋巴组织淋巴瘤一例
图片尺寸366x334
降结肠环形黏膜隆起镜下这么多淋巴细胞是单纯炎症可能吗?
图片尺寸1280x960